【佳学基因检测】上颌多余切牙的发生与基因检测
上颌额外切牙(supernumerary maxillary incisor),通常指的是上颌中线或侧面出现多余的切牙,这种现象在儿童或青少年的牙齿发育过程中可能出现。其发生可能与遗传因素、发育异常以及其他环境因素相关。以下是关于上颌额外切牙的发生与基因检测的详细介绍:
上颌额外切牙的发生
-
发生原因: 上颌额外切牙的确切原因尚未完全明确,但研究表明,遗传因素在其中扮演了重要角色。该现象通常表现为中线位置(称为“中切牙型”)或上颌牙弓的两侧(称为“侧切牙型”)出现额外的切牙。某些遗传疾病如 Gardner 综合症、Cleidocranial dysplasia(颅骨发育不全)等与多余牙齿的发生有一定关联。此外,发育过程中的突发异常或环境因素如孕期营养不良、药物使用等也可能对牙齿的发育产生影响。
-
发生的机制: 上颌额外切牙通常在胚胎期或婴幼儿期牙齿发育的过程中,正常牙胚之外再发育出一个或多个多余的牙胚。这些多余的牙胚有时会正常发育并最终长出,但也有可能因为某些因素(如空间不足、牙列拥挤等)无法正常萌出或位置异常。
-
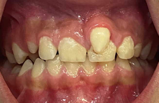
临床表现:
- 额外切牙可以出现在上颌中线或偏侧位置,并且通常表现为小于正常牙齿或形态不规则。
- 若未能正常萌出,可能会导致牙列拥挤、牙齿错位、以及对正畸治疗的干扰。
- 部分个体可能会伴随其他牙科疾病,如龋齿、牙囊肿等。
-

- 口内照片显示上颌左中切牙唇面有一颗锥形多生牙
基因检测在上颌额外切牙中的应用
-
遗传因素的研究: 上颌额外切牙的发生常与遗传因素有关。通过对多个有多余牙齿家族的研究,科学家发现特定基因可能会影响牙齿的发育。例如,MSX1 基因、PAX9 基因等已经被证明与牙齿发育及超数牙(包括上颌额外切牙)有一定关联。遗传研究可以帮助明确哪些基因变异可能导致额外切牙的发生。
-
基因检测的作用: 基因检测可以帮助确认是否存在与多余牙齿相关的遗传易感性,尤其是在有家族史的个体中。如果怀疑患者有遗传性牙齿异常,基因检测可为医生提供明确的诊断依据。对于一些与额外切牙相关的遗传综合症(如Gardner 综合症、Cleidocranial dysplasia),基因检测可以提供早期发现和治疗的机会。
-
诊断和治疗指导: 基因检测不仅有助于了解上颌额外切牙的遗传背景,还能帮助指导治疗。若诊断出特定的遗传因素,医生可以为患者提供个性化的治疗计划,采取适当的矫正、拔除或观察策略。此外,基因检测还可以帮助评估该患者是否有其他牙科或系统性疾病的风险,如牙囊肿、牙列发育不良等。
结论
上颌额外切牙的发生与多种因素密切相关,尤其是遗传因素的影响。通过基因检测,可以识别潜在的遗传易感性,为诊断和治疗提供支持。对于有家族史或表现出额外切牙症状的个体,基因检测是一项重要的辅助工具,帮助医生做出更加精准的临床决策,同时提前预防可能的并发症。
(责任编辑:佳学基因)