【肿瘤靶向药物基因检测】talazoparib 在具有体细胞BRCA2致病性突变的激素受体阳性HER2阴性转移性乳腺癌女性中的治疗效果
肿瘤药物他拉唑帕尼(talazoparib)基因检测导读:
下一代测序 (NGS) 已被证明是全面了解癌症患者体内发病原因和治疗手段的关键措施实施。 在日常实践中,通过肿瘤正确治疗850基因检测,可以获得体细胞和种系突变的鉴定,使医生能够收集相关信息来做出治疗决策并使患者受益。 重要的是,体细胞突变为治疗提供了有针对性的机会,并揭示了了解患者肿瘤演变的耐药机制。 关于聚(ADP-核糖)聚合酶抑制剂的选择需要获得在致病性或可能致病性体细胞乳腺癌基因 1/2 (BRCA1/2) 突变和/或种系或 晚期乳腺癌 (ABC) 中的体细胞同源重组相关基因突变的数据。佳学基因检测肿瘤正确用药病案集收集了一名 47 岁绝经后妇女的真实案例,她患有激素受体阳性(HR 阳性)表皮生长因子受体 2(HER2)阴性转移性 BC,对 HR+/ 的经典治疗策略反应不佳 HER2-ABC。 肿瘤医院决定了使用 NGS 指导治疗的可能性,并且患者对靶向非胚系 BRCA2 突变的他拉唑帕尼产生了明显的治疗效果。
为什么要开展肿瘤正确用药基因检测?
在所有诊断为乳腺癌 (BC) 的患者中,通过肿瘤正确用药850基因检测,大约 5%–10% 具有种系乳腺癌基因 1/2 (BRCA1/2) 突变。 这些蛋白质通过在同源重组修复中整合 DNA 双链损伤修复的复杂机制,在细胞存活中发挥重要作用。 这些基因中的四个突变具有高度渗透性,使 BRCA1 突变患者的乳腺癌 (BC) 终生风险增加高达 70%,使 BRCA2 突变患者的终生风险增加 40%–70%。
采用肿瘤正确用药治疗850的临床医生在具有这些种系突变的患者中探索了靶向治疗,包括 DNA 损伤剂,例如聚(ADP-核糖)聚合酶抑制剂 (PARPi),以及参与单链 DNA 链断裂修复的酶。
BRCA1/2 仅在 10% 的晚期 BC (ABC) 患者中被发现为体细胞突变。 这些体细胞 BRCA 突变未被充分认识,并且使很多有可能获得有效治疗的患者错失了额外靶向治疗的机会。 基于两项关键的 III 期临床试验,奥拉帕尼和他拉唑帕尼目前被批准用于具有种系 BRCA1/2 突变和晚期乳腺癌 (ABC) 的患者。佳学基因肿瘤正确用药探索性效果病案集收录了一份关于 PARPi 在 BRCA2 体细胞突变患者中用于 HR+/Her2- ABC 的临床效用的真实案例报告,通过该案例,探讨对该类患者采用肿瘤基因850正确用药基因检测的正反两方面的看法。
晚期乳腺癌正确用药基因检测病例介绍
一位 47 岁的绝经后妇女,其母亲在 73 岁时有乳腺癌 (BC) 家族史(图 1),其姑姑同时患有双侧乳腺癌 (BC) ,被诊断为原发性右侧乳腺癌 (BC) ,激素受体阳性(HR+), HER2 阴性,临床 2A 期 (pT2pN1M0)。 2010年11月,进行了保守手术和腋窝淋巴结清扫术,患者接受了6个周期的环磷酰胺、甲氨蝶呤和氟尿嘧啶(CMF)辅助化疗(CT),随后进行了全乳放射治疗,并接受了为期3年的他莫昔芬治疗,因副作用而暂停。

图1:患者家族史调查表。 疾病命名采用国际命名法规则进行
2019 年 12 月,由于继发性同侧原位导管癌(3 级,HR 阳性),进行了同侧乳房切除术。 患者拒绝进一步的辅助治疗。 2020年12月,患者感受到新出现的腹痛。 CT 扫描显示腋窝淋巴结肿大和多发性肝转移。 淋巴结活检证实存在 HR 阳性和 HER2 阴性的乳腺癌 (BC)反复。 考虑到患者有 7 年的无治疗间隔且无内脏危象标准,一线治疗选择为来曲唑加 abemaciclib。 2021年4月,经过4个月的治疗,观察淋巴结反应和肝病进展情况。 考虑到根据欧洲肿瘤学院-欧洲肿瘤内科学会 (ESO-ESMO) 2016 年共识指南观察到的原发性激素耐药,以及快速的内脏进展,选择多西他赛加卡培他滨联合化疗。 该临床病例经分子肿瘤委员会 (MTB)讨论,并提出了两项正式建议:通过免疫组织化学 (IHC) 进行肝活检以重新测试 HR 和 HER2 状态,以及使用基于下一代测序 (NGS)的肿瘤靶向药物基因检测850对其进行基因检测。 肝脏样本 (LEICA BOND MAX®) 中的 IHC 检测显示存在高雌激素受体表达 (70%),不存在孕激素受体和 HER2 染色。 PIK3CA 基因 (LRG_310t1)采用基因检测试剂盒分析11 种常见突变的定性分析,检测位点包括H1047R、H1047Y y H1047L、E542K、E545K、E545D、E545A、E545G、Q546R ,外显子 9 中的 Q546E 和外显子 7 中的 C420R。采用基因检测试剂盒未发现体细胞遗传改变。 2021 年 6 月,经过两个周期的化疗后,患者出现了新的肝病进展。 当时,使用基于下一代测序基因检测检测表明 BRCA2 基因中存在致病变异 N588fs*26。 表 1 详述了更多基因检测结果。
表1:基于NGS的肿瘤正确用药850基因检测
| 基因代码 | 基因突变对蛋白质结构与功能的影响 | VAF | CNA |
|---|---|---|---|
| BRCA2 | N588ffs*26 | 26.78% | — |
| KRAS | G12R | 23.51% | — |
| ESR1 | Amplification-equivocal | — | 6 |
| MCL1 | E110del | 57.21% | — |
| RB1 | L220fs*3 | 24.94% | — |
| TP53 | E224D | 38.23% | — |
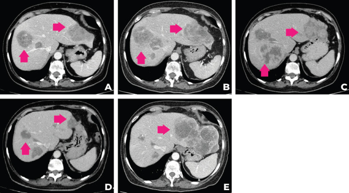
考虑到患者的临床病程和多基因检测包的结果,MTB 第二次会议讨论建议进行肿瘤靶向药物基因检测850的遗传咨询,并开始使用他拉唑帕尼进行全身治疗。 遗传咨询后,进行了 33 个基因组,包括与结肠癌、妇科癌和结直肠癌相关的基因(APC、ATM、AXIN2、BARD1、BMPR1A、BRCA1、BRCA2、BRIP1、 CDH1、CHEK2、DICER1、EPCAM、GREM1、MLH1、MSH2、MSH3、MSH6、MUTYH、NBN、NF1、NTHL1、PALB2、PMS2、POLD1、POLE、PTEN、RAD50、RAD51C、RAD51D、SMAD4、SMARCA4、STK11、TP53)的基因检测。在所有检测的基因中没有任何一个被发现任何相关的突变或变异。 2021 年 9 月,经过 talazoparib 治疗 3 个月后,观察到腹痛和肝脏部分反应的临床改善。 在提交本病例时(2021 年 12 月),肿瘤反应正在进行中。 图 2 描绘了患者主要放射学发现的总结,图 3 描绘了患者演变的时间表。


图 3:患者的主要治疗及其结果时间表
晚期乳腺癌正确用药基因检测病例讨论
NGS 已被证明是了解癌症相关生物学途径的关键实施。 在日常实践中,体细胞和种系突变的鉴定使医生能够收集相关信息来做出治疗决策并使患者受益。 重要的是,体细胞突变为治疗提供了有针对性的机会,并揭示了了解患者进化的耐药机制。 在肿瘤正确用药基因检测大数据分析中,在近 10% 的肿瘤样本中观察到 BRCA1/2 (sBRCA1/2m) 的体细胞突变和其他同源重组相关基因 (HRRG) 的改变。 晚期乳腺癌正确用药基因检测收录的这一案例反映了一名患者对 HR+/HER2- ABC 的经典治疗策略反应不佳,NGS 导致发现 sBRCA1/2m。 关于 PARPi 在 ABC 中致病性或可能致病性 sBRCA1/2m 和/或种系或体细胞 HRRG 突变 (g/sHRRGm) 中的效用,临床试验和现实世界环境中的数据很少。 肿瘤正确用药基因检测研究组织在一项单组 II 期研究中评估了奥拉帕尼在 HER2 阴性 ABC 患者中的疗效,其中 sBRCA1/2m 或 g/sHRRGm 不是 BRCA1/2。 在 16 名患有 sBRCA1/2 的患者组中,客观缓解率 (ORR) 为 50%,中位无进展生存期 (PFS) 为 6.3 个月(90% 置信区间 (CI),4.4 个月-不可用). 在与 gPALB2 突变相关的亚组中,ORR 为 82%,中位 PFS 为 13.3 个月(90% CI,12 个月-不可用)。 在仅具有 ATM 或 CHEK2 突变的患者中未观察到反应。佳学基因病案集收录的另一项 II 期研究中,他拉唑帕利对 g/sHRRGm 乳腺癌和非乳腺癌患者的疗效。 包括 13 名 ABC 患者。 基因解码观察到这种治疗的总 ORR 为 25%,临床获益率为 50%。
肿瘤突变分析可能具有种系影响。 特别是,佳学基因一项对来自 302 名患者中 161 名的组织样本的亚组分析表明,gBRCAm 和 tBRCAm 之间的一致性为 99%。
在一项回顾性系列研究中,肿瘤致病基因鉴定基因解码及靶向药物使用基因检测确定 221 名患者至少有一种致病性或可能致病性 sBRCA1/2 改变。 其中 65% 接受了种系基因检测。 共有 49% 的评估患者携带 gBRCA1/2m。 在这种情况下,应该强调的是,国家综合癌症网络 (NCCN) 指南建议对任何发现 sBRCA1/2 的患者进行验证性种系基因检测,而不需要参照肿瘤类型。
肿瘤致病基因鉴定及恶化转移分析项目组进行了一项多中心前瞻性和观察性研究,使用包含80个基因的基因检测包评估了 2,984 名患者队列中种系突变的发生率。 肿瘤基因解码得出结论,大约八分之一的诊断为乳腺癌(BC)的患者具有与预后不良相关的遗传变异,并且在近三分之一的参与者中,拟议的治疗策略根据 NGS 结果进行了修改。 根据这一标准并与我们案例中执行的诊断序列形成对比,基于肿瘤正确用药850的基因检测结果中,对种系遗传评估应该是调查可能的预后和预测因素的先进步。
其他研究评估了体细胞基因测序对促进临床试验注册和确定靶向治疗方法的影响。
在 SAFIR-01 研究中,André 等人通过全面的基因组杂交和 Sanger 测序检查了 PIK3CA 和 AKT1 突变的发生率,以及 423 名乳腺癌(BC)患者队列中的其他药物扩增。 在具有可评估结果的 297 名患者中,46% 有基因组改变,其中 PI3KCA 突变 (25%) 和 CCND1 (19%) 和 FGFR1 (13%) 扩增是贼常见的发现。 向 13% 的研究参与者提供了有针对性的方法。 ORR 仅在队列中的四个人中观察到。
不同肿瘤模型中体细胞靶向改变的证据促使国际社会评估不同治疗方案的体细胞测序技术的适应症。 ESMO 指南已确定,不应为 ABC 患者常规提供多基因测序。
基于NGS肿瘤正确用药850基因检测广泛获取大量的基因信息,尽管管这些信息对某些机构的多学科团队形成结果解释方面的挑战。 但是结合这一水平的基因测序结果,加上初步临床或临床前证据,区分代表已证实或潜在相关改变的发现。
欧洲肿瘤内科学会 (ESMO) 提出了 ESMO 分子靶点临床可操作性量表 (ESCAT) 量表,它提供了一个系统框架,用于根据支持分子靶点作为治疗靶点价值的现有证据对分子靶点进行排序。 它允许通过改进对 NGS 发现的解释来确定癌症基因组改变的优先级。 如果多种肿瘤类型的临床试验或联合临床试验已证明对特定肿瘤类型具有临床意义的益处,则结果被归类为“I-C 级”。
为得出这一结论,作者根据可操作性(ESCAT 量表)对这一人群中常见的体细胞改变进行了分类。 考虑到临床获益主要在其他肿瘤模型中观察到,BRCA1/2 体细胞突变被归类为 ESCAT III。
在贼近发表的临床试验 SAFIR-02 中,André 等人介绍了 238 名患者的结果,这些患者在晚期乳腺癌(ABC)化疗后具有临床获益,并被随机分配到 NGS 突变匹配靶向治疗或继续维持化疗。 在 115 名患有 ESCAT I 或 II 突变肿瘤(与已证实或可能预测获益相关)的患者亚组中,接受靶向治疗的手臂的 PFS 显着延长(分别为 9.1 个月和 2.8 个月)。 具体而言,在 HRD 评分等于或超过 42 的肿瘤病例中,靶向治疗的 PFS 为 10.2 个月,而在接受维持化疗的患者中观察到的中位 PFS 为 2.7 个月。
这里介绍的案例提出了何时应考虑 NGS 的问题。 在这种情况下,MTB 的作用至关重要。 为了说明这一点,Hlevnjak 等人报告了前 200 名接受 DNA 或 RNA 全基因组或转录组测序的晚期乳腺癌患者的经历(CATCH 研究)。 在 MTB 中讨论的 128 个病人和 64 个案例 (50%) 中,根据 MTB 的建议进行了治疗。 与 MOSCATO-01 研究相比,与之前的治疗策略 PFS 相比,这些患者中有 30% 的 PFS 提高了 1.3 倍。
(责任编辑:佳学基因)