【佳学基因检测】常见遗传性眼病采用基因检测进行分子诊断的意义
遗传性眼病是一组由基因缺陷导致的眼部疾病,可累及眼部任何结构和组织,严重者可致盲。近年来,随着分子生物学技术的快速发展,常见遗传性眼病的分子诊断技术取得了长足的进步,为该类疾病的正确诊断、遗传咨询和基因治疗奠定了基础。
关键词:常见遗传性眼病;分子诊断;意义
1. 常见遗传性眼病的概述
遗传性眼病是指由基因缺陷导致的眼部疾病,可累及眼部任何结构和组织,包括眼睑、结膜、角膜、虹膜、睫状体、晶状体、玻璃体、视网膜、脉络膜、视神经等。遗传性眼病的类型多达数百种,其中较为常见的有:
视网膜色素变性(RP):一组累及视网膜色素上皮细胞和视网膜感光细胞的遗传性疾病,可导致视力下降、夜盲、视野缩小等症状,贼终可致盲。

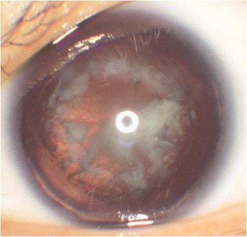
先天性白内障:出生时或出生后不久即存在晶状体混浊,可导致视力下降。

先天性白内障:先天性无虹膜合并白内障患者术前晶状体混浊情况
青光眼:一种以视神经损害和视野缩小为特征的眼部疾病,可导致视力下降甚至失明。

青光眼:先天性遗传性内皮营养不良 (a)、原发性先天性青光眼 (b) 和 Peters 异常 (c) 病例中观察到类似的临床表型
视网膜母细胞瘤:一种发生于视网膜的恶性肿瘤,多见于儿童,可导致视力丧失甚至生命危险。

视网膜母细胞瘤:a,在这张数码图像上检测到白瞳(白色瞳孔)导致父母诊断为视网膜母细胞瘤。 麻醉下检查发现左眼患有 IIRC78 D 组视网膜母细胞瘤,两天后被摘除; CT 扫描计划检查三侧肿瘤。 眼睛的病理检查显示没有高风险特征。 另一只眼睛在诊断时正常,但在下次检查时发现了一个小肿瘤,并仅用激光治疗。 b、术后1个月,患儿出现高颅压。 CT扫描诊断为颅内中线大肿瘤(三侧病灶),给予化疗、大剂量化疗联合干细胞移植造血挽救、脑室内植入化疗药物鞘内注射(直接注入脑脊液) 导管。 c,8 岁时的随访 MRI 显示没有残留疾病,d,孩子状况良好,有一只好看的义眼,一只眼睛视力正常; 他戴着聚碳酸酯镜片来保护他少有的眼睛。 e, eCCRB 治疗时间表; 并未显示所有鞘内化疗注射 (*)。
2. 常见遗传性眼病分子诊断的意义
常见遗传性眼病的分子诊断是指通过检测患者的基因组DNA或RNA,以明确导致疾病的基因突变或染色体异常。分子诊断具有以下意义:
提高诊断的正确性:传统的诊断方法主要依靠临床表现和影像学检查,但有时难以区分不同类型的遗传性眼病,而分子诊断可以明确致病基因,从而提高诊断的正确性。
指导遗传咨询:明确了致病基因后,可以对患者及其家属进行遗传咨询,评估其患病风险和生育风险,为其提供生育指导和预防措施。
为基因治疗奠定基础:基因治疗是通过将正常基因导入患者体内,以纠正基因缺陷导致的疾病。分子诊断可以为基因治疗提供靶向,选择合适的基因治疗方案。
3. 常见遗传性眼病分子诊断的技术方法
常见的遗传性眼病分子诊断技术方法包括:
染色体分析:可以检测患者是否存在染色体数目或结构异常。
基因测序:可以检测患者是否存在基因突变。
基因芯片:可以同时检测多个基因的突变。
4. 常见遗传性眼病分子诊断的现状与展望
近年来,随着分子生物学技术的快速发展,常见遗传性眼病的分子诊断技术取得了长足的进步,但仍存在一些挑战:
技术成本高:目前,分子诊断技术的成本仍然较高,尚未普及。
检测方法复杂:分子诊断技术的应用需要专业人员和设备,对实验室条件要求较高。
基因突变解释困难:有些基因突变的致病机制尚未明确,给临床诊断和治疗带来困难。
未来,随着分子诊断技术的不断发展和完善,将有更多遗传性眼病得到有效的诊断和治疗。
常见遗传性眼病分子诊断的科学依据
眼遗传病基因诊断方法专家共识: https://www.ncbi.nlm.nih.gov/pmc/articles/PMC6071072/
眼科遗传性疾病基因诊断的现状与展望:
(责任编辑:佳学基因)