肺癌是全球癌症相关死亡的首要原因,其中肺腺癌是最常见的肺癌亚型。在所有肺腺癌中,最普遍的一类是通过一个多步骤过程发生肿瘤形成与进展的,即从非典型腺瘤样增生(AAH)发展为原位腺癌(AIS),再到微浸润性腺癌(MIA),最终演变为具有铺路石样生长模式的浸润性腺癌。这一逐步发展的过程得到了临床病理学特征和分子特征的支持。在2015年世界卫生组织(WHO)分类中,AAH和AIS被定义为癌前病变,而MIA则被认为是早期浸润性腺癌,在完全切除后预期不会复发。近期基因解码进一步探讨了肺腺癌肿瘤发生及进展过程中的分子特征。基因解码发现,携带EGFR突变的腺癌通常通过这一多步骤过程进展。而在KRAS或BRAF突变的腺癌中,由于癌基因诱导的细胞衰老作用,似乎降低了多步骤发展的频率,这类肿瘤的演变可能与表观遗传改变及激酶失活型突变有关。本综述总结了目前关于早期肺腺癌肿瘤发生及进展的基因解码进展,特别是关注其临床病理特征与驱动基因突变(EGFR、KRAS、BRAF)之间的关联,以及相关的分子发病机制和肿瘤演进过程。
《为什么有的人会得肺腺癌?靶向药物与发病原因》关键词:
CDKN2A(p16)、从头通路、HNF4A、免疫组织化学、分子病理流行病学、NKX2-1(TTF-1)扩增、Napsin A、终末呼吸单位(TRU)谱系、TP53(p53)
1. 佳学基因检测为什么主张进行肺腺癌基因检测?
肺癌是全球癌症相关死亡的主要原因,其中腺癌是最常见的亚型。由于大多数肺腺癌病例即使定期进行放射影像筛查也往往发现时已是晚期,因此,在可治愈的阶段提高早期肺腺癌的检出率将能够降低肺癌相关死亡人数,并避免昂贵的治疗费用。在过去的几十年中,基于新发现的肺癌基因组特征的新策略为肺腺癌基因解码提供了更精准的风险评估、早期检测方法和治疗干预措施;然而,由于对肺癌生物学特征(尤其是早期肿瘤发生和进展过程)的了解不足,这些策略的效果受到限制。最近的基因解码加深了肺腺癌基因解码对肺腺癌基因组特征在发生和发展方面的理解。人们认为最常见的腺癌亚群是逐步发展而成的,从非典型腺瘤增生 (AAH) 到原位腺癌 (AIS),再到微侵袭性腺癌 (MIA),最后到具有鳞屑状模式的明显侵袭性腺癌。
世界卫生组织 (WHO) 最新分类基于癌症的累积分子特征,采用了肺腺癌发生和进展的阶梯式连续模式。考虑到该过程始于非典型腺瘤样增生(AAH)(腺癌前病变),2015 年 WHO 分类根据腺癌的侵袭程度将腺癌分为原位腺癌(AIS)(浸润前病变)、微浸润性腺癌(MIA)和明显浸润性腺癌。
AAH、AIS 和 微浸润性腺癌(MIA)是具有鳞屑状结构的明显浸润性腺癌的前体;因此,深入了解其发展可能有助于阐明早期肺腺癌肿瘤演变的潜在机制。分析这些机制将有助于制定更有效的预防和治疗策略。本综述概述了目前对早期肺腺癌肿瘤发生和进展过程的认识,重点关注其临床病理特征及其与驱动突变(EGFR、KRAS和BRAF)的关联。
2.进行肺腺癌前医生会观察到哪些临床病理特征?
从非典型腺瘤样增生(AAH) 到原位腺癌(AIS),到 MIA,再到具有贴壁模式的明显侵袭性腺癌的逐步连续过程已被认可为肺腺癌发展的潜在模型。这种连续过程不仅由肿瘤的形态学外观支持,也由所涉及的分子过程的顺序支持。细胞和结构的异形性都沿着这个逐步连续过程增加。Noguchi 等人根据组织学肿瘤生长模式将小(小于或等于 2 cm)周围性腺癌分为六种类型(Noguchi 分类;A-F 型)。在 Noguchi 分类中,具有贴壁模式的早期腺癌分为 A、B 或 C 型,代表肺腺癌的逐步进展。A 型腺癌对应于原位腺癌(AIS),呈贴壁生长,基质相对较薄。 B型腺癌对应于AIS的硬化型,表现为鳞屑状生长,并伴有因肺泡塌陷而导致的肺间隔增宽。C型腺癌对应于MIA,为局限性腺癌,表现为鳞屑状生长,并有活跃的成纤维细胞增生灶 。本节概述了AAH、AIS和MIA的临床病理特征。
2.1.非典型腺瘤样增生(AAH)(非典型腺瘤增生)
AAH 被认为是一种独特的潜在病变,可能导致肺腺癌,且通常无法通过影像学技术检测到。AAH 通常是在检查含有恶性肿瘤的手术标本时偶然发现的。AAH 是一种局部、生长缓慢的病变。在计算机断层扫描 (CT) 上,即使检测到非典型腺瘤样增生(AAH),也表现为无实性成分的小毛玻璃结节 (GGN) 。在手术切除的含有肺癌(尤其是肺腺癌)的肺组织中,AAH 的发病率很高。在腺癌中,AAH 常与原位腺癌(AIS) 同时出现。患有腺癌的肺组织发生非典型腺瘤样增生(AAH) 的风险较高可通过区域癌变来解释,这表明正常肺组织面临罹患腺癌的风险,因为其拥有使组织易患非典型腺瘤样增生(AAH) 的遗传特征,而非典型腺瘤样增生(AAH) 往往随后导致侵袭性腺癌。
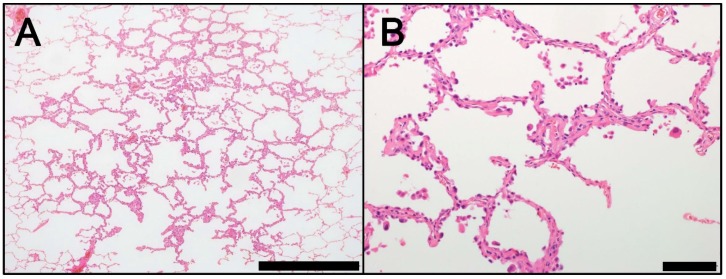
AAH 是一种较小的病变(通常小于 0.5 cm),通常发生在肺周围,尤其是靠近胸膜的地方 。AAH通常无法通过肉眼观察到,但通常可以通过显微镜识别。肉眼可见的非典型腺瘤样增生(AAH) 通常表现为小的、边界不清的黄褐色结节性病变。显微镜下,AAH 表现为肺泡 II 型肺泡细胞局部增生,细胞异型性轻度至中度,排列在已有的肺泡壁上(贴屑状生长)(图 1)。非典型肺泡 II 型肺泡细胞通常呈靴状外观。偶尔可观察到核内嗜酸性包涵体。在非典型 II 型肺泡细胞之间,沿基底膜表面明显存在间隙。这些间隙是区分AAH和AIS的有用特征(图1)。AAH病变表现为向邻近正常肺泡细胞的突然转变。尽管肺泡壁可能因胶原蛋白而略微增厚,但这些间质改变不会超出病变边界,病变边界由非典型肺泡细胞群定义。

图 1.AAH的形态学(苏木精-伊红染色)。(A)低倍放大(比例尺=1000µm)。(B)高倍放大(比例尺=100µm)。AAH,非典型腺瘤性增生。
AAH 必须与原位腺癌(AIS) 和反应性肺泡细胞增生相鉴别。AAH 和原位腺癌(AIS) 在细胞和结构异形性方面均呈现出形态学上的连续性进展。因此,区分细胞/结构异形性较多的非典型腺瘤样增生(AAH) 与原位腺癌(AIS) 有时颇具挑战性。AIS 的细胞/结构异形性通常比非典型腺瘤样增生(AAH) 更明显。需要注意的是,AIS 通常体型较大(通常大于 5 毫米),异形细胞密集排列,细胞间接触、重叠、轻度分层较多,并有向邻近正常肺泡细胞的突然转变。伴有细胞异形性的反应性肺泡细胞增生继发于实质炎症或纤维化,此时异形肺泡细胞并非主要特征。通常,AAH 不会发生在炎症或纤维化病变中。
2.2.原位腺癌(AIS)(原位腺癌)
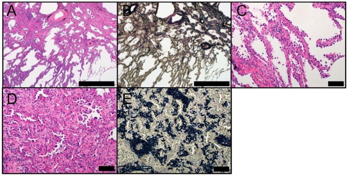
AIS 是一种小型(定义为直径小于或等于 3 cm)、局限性腺癌,通常位于肺周围,靠近胸膜。在 Noguchi 分类中,从 A 型到 B 型,再到 C 型的连续性代表了直径小于或等于 2 cm 的周围型早期腺癌的逐步进展。AIS 病变对应于 Noguchi A 型或 B 型腺癌,具有局限性且生长缓慢。当原位腺癌(AIS) 病变完全切除后,无病生存率接近 100% 。AIS肿瘤可细分为非粘液型和粘液型;然而,粘液型极为罕见。AIS 通常与因其他医学原因使用 CT检查同时被发现。 CT 扫描显示,AIS 表现为小型磨玻璃结节,无实性成分,类似于非典型腺瘤样增生(AAH)。黏液性原位腺癌(AIS) 的病变很少表现为部分实性或实性结节。宏观上,AIS 通常表现为边界不清的结节,切面呈棕褐色或浅色。显微镜下,AIS 表现为肿瘤细胞沿先前存在的肺泡结构呈纯贴壁生长,缺乏淋巴管、血管、基质或胸膜侵犯(图2)。应完整取样肿瘤并进行显微镜检查,以确认无侵袭性成分。非黏液性原位腺癌(AIS) 通常包含非典型 II 型肺泡细胞(图 2 A-C)。极其罕见的黏液性原位腺癌(AIS) 病例由高柱状细胞组成,具有丰富的细胞质黏蛋白和基底核,类似于杯状细胞。粘液性原位腺癌(AIS) 中几乎不存在核异形性,而非粘液性原位腺癌(AIS) 中可观察到低度核异形性。免疫组织化学上,非粘液性原位腺癌(AIS) 通常表达 TTF-1(NKX2-1)蛋白,该蛋白是一种调节表面活性蛋白组织特异性表达的转录因子,也是终末呼吸单位 (TRU) 的谱系特异性标志物。相反,粘液性原位腺癌(AIS)很少表达 TTF-1 蛋白;因此,大多数粘液性原位腺癌(AIS) 肿瘤被认为是非 TRU 型腺癌。非粘液性和粘液性原位腺癌(AIS) 肿瘤均显示 CK7 免疫染色阳性。相反,粘液性原位腺癌(AIS) 肿瘤在免疫组织化学上通常对 CK20 呈阳性,而非粘液性原位腺癌(AIS) 肿瘤很少显示这种 CK20 阳性染色。 CK7 和 CK20 的共表达是粘液性肺腺癌(包括粘液性原位腺癌(AIS))的特征 [ 24: 然而,值得注意的是,来自其他器官(如卵巢)的粘液腺癌偶尔也会同时表达 CK7 和 CK20。形态学上,AIS 肿瘤细胞通常类似于随着肺泡上皮的不断更替而生长的肺泡 II 型肺泡细胞。缺乏纤维化灶且基质相对较薄的原位腺癌(AIS) 对应于野口 A 型腺癌(图 2 A-C)。AIS 的硬化型(对应于野口 B 型腺癌)显示间隔增宽,肺泡塌陷,弹性组织增多(图 2 D-G)。区分硬化型原位腺癌(AIS) 和侵袭性腺癌有时很困难。

图 2.AIS(Noguchi A 型;A – C)和原位腺癌(AIS),硬化型(Noguchi B 型;D – G)的形态。低倍放大下的原位腺癌(AIS)(Noguchi A 型)[(A)HE 染色和(B)EVG 染色] 和(C)高倍放大(HE 染色)。低倍放大下的原位腺癌(AIS),硬化型(Noguchi B 型)[(D)HE 染色和(E)EVG 染色] 和高倍放大 [(F ) HE染色和(G)EVG 染色]。A 、B、D和E:比例尺 = 1000 µm。C 、F和G:比例尺 = 100 µm。AIS,原位腺癌;EVG,弹性范吉森染色;HE,苏木精和伊红。
AIS 必须与非典型腺瘤样增生(AAH)(如上所述)和 微浸润性腺癌(MIA)相鉴别,后者表现为微浸润性病变。微浸润性腺癌(MIA)中的侵袭性病灶与硬化性原位腺癌(AIS)(增厚的肺泡隔内弹性组织明显增多)的划分可能存在问题。使用弹性组织染色显示肺泡结构的破坏,可以区分真正的侵袭和肺泡塌陷。然而,应该注意的是,在侵袭的早期阶段不一定存在弹性纤维的破坏。此外,不应将先前活检中活检部位的变化误解为肿瘤侵袭引起的基质反应。直径大于 3 cm 的非侵袭性腺癌非常罕见;因此,没有足够证据表明完全切除后可预测 100% 的无病生存率。在 2015 年 WHO 分类中,这些肿瘤被归类为“鳞状为主的腺癌,疑似原位腺癌(AIS)”。
2.3. MIA(微浸润腺癌)
在 2015 年 WHO 分类中,微浸润性腺癌(MIA)被引入为原位腺癌(AIS) 和鳞状腺癌之间的一种新肿瘤实体。从临床病理学角度来看,微浸润性腺癌(MIA)的引入合乎逻辑。微浸润性腺癌(MIA)是一种小型(直径小于或等于 3 cm)腺癌,主要呈鳞状结构,侵袭性结构小于或等于 5 mm(图 3)。微浸润性腺癌(MIA)通常为非黏液性,但很少为黏液性。与原位腺癌(AIS) 一样,微浸润性腺癌(MIA)通常是在因其他医疗原因进行 CT 检查时偶然发现的。在 CT 上,微浸润性腺癌(MIA)通常表现为肺周围 GGN,实性成分小于 5 mm。侵袭性病变需要与肺泡塌陷、纤维化和黏液相鉴别,这些病变也会导致 CT 上出现实性表现。尽管 CT 上 微浸润性腺癌(MIA)与黏液性原位腺癌(AIS) 的鉴别诊断存在困难,但多发结节且结节扩散至邻近肺实质且边界不清,支持黏液性原位腺癌(AIS) 的诊断 。临床上,如果完全切除,微浸润性腺癌(MIA)预计不会复发。由于先前的基因解码并未证明原位腺癌(AIS) 和 微浸润性腺癌(MIA)在临床结果方面有任何显著差异,因此鉴别两者的益处值得怀疑。根据先前的基因解码, AIS和MIA均不易扩散至区域淋巴结或发生转移。因此,AIS 或 微浸润性腺癌(MIA)患者适合接受亚肺叶切除术。

图 3.MIA的形态。低倍放大下的MIA(( A ) HE染色和( B ) EVG染色)(比例尺= 1000 µm)。高倍放大下的MIA鳞屑状部分(( C ) HE染色)和侵袭性部分(( D ) HE染色和( E ) EVG染色)(比例尺= 100 µm)。EVG,弹性范吉森染色;HE,苏木精-伊红染色;MIA,微侵袭性腺癌。
宏观上,微浸润性腺癌(MIA)通常表现为中心有弹性的硬性成纤维细胞病变,周围有弹性柔软的充气成分。微浸润性腺癌(MIA)病变常表现为中心炭疽样色素沉着和胸膜皱褶。大体检查的肿瘤大小可能小于放射学检查的肿瘤大小。肺组织塌陷,尤其是当肺内福尔马林填充不足时,以及福尔马林固定本身都可能导致肿瘤大体大小减小。此外,由于周围稀疏的鳞屑状生长,边界不清的肿瘤可能导致宏观大小小于放射学所见。显微镜下,微浸润性腺癌(MIA)表现为腺癌(小于或等于 3 cm),以鳞屑状结构为主,侵袭性结构小于或等于 5 mm(图 3)。必须根据分类标准正确测量侵袭性区域的最大尺寸 。分散的侵袭性病灶使测量结构的最大直径变得困难。最近的一项基因解码表明,侵袭性结构的大小可以通过侵袭性成分的百分比乘以肿瘤的最大直径之和来估计。根据分类标准,估计侵袭性直径小于或等于 5 毫米的小腺癌(小于或等于 3 厘米)可诊断为 MIA。在显微镜下,微浸润性腺癌(MIA)看起来是非粘液性的,但很少是粘液性的或混合表型,类似于原位腺癌(AIS)。如果肿瘤大小小于或等于 2厘米,则MIA被归类为Noguchi C型肿瘤。Noguchi C型腺癌代表局限性腺癌,具有鳞状生长和活跃的成纤维细胞增生灶。 MIA的侵袭性成分可呈现多种组织学模式,例如腺泡状、乳头状、实性或微乳头状。肿瘤细胞浸润至基质,并伴有活跃的肌成纤维细胞增殖,也被认为是侵袭性的。MIA被定义为缺乏淋巴管、血管和胸膜侵袭性成分;肿瘤坏死;或播散至肺泡,所有这些特征均与不良预后相关。免疫组化上,非黏液性MIA肿瘤为TRU型腺癌,其肺泡细胞标志物TTF-1和Napsin A染色呈阳性,Napsin A是一种天冬氨酸蛋白酶,参与II型肺泡细胞中表面活性蛋白B的成熟。黏液性MIA肿瘤通常肺细胞相关蛋白表达阴性,CK20和HNF4A表达阳性,HNF4A是在肝脏、肾脏和肠道中表达的转录因子,在形态分化中起着至关重要的作用。HNF4A常见于侵袭性黏液腺癌。
必须正确区分MIA与AIS(如上所述)和侵袭性鳞屑状腺癌。当肿瘤中观察到散在的侵袭性病灶时,正确测量或估计侵袭性成分的大小具有挑战性;然而,这一步骤对于做出正确的鉴别诊断是必要的。值得注意的是,侵袭性鳞屑状腺癌在形态学特征方面与MIA相似,但临床预后明显差于MIA。腺泡和乳头状结构是MIA中最常见的侵袭性成分;因此,这些结构与鳞屑状结构的结构相似性使得区分非侵袭性鳞屑状结构和侵袭性结构更加困难。术中采用冰冻切片进行诊断可用于将肺肿瘤分层为AIS、MIA和明显的侵袭性腺癌,这可能有助于确定治疗策略(肺叶切除术或亚肺叶切除术)。术中诊断的准确性取决于多种因素,例如肿瘤大小、间质炎症或纤维化、参与诊断的病理学家数量以及检查样本的数量。由于大多数对含有微小浸润成分的腺癌的基因解码仅涉及小于3 cm的肿瘤,因此,没有足够的证据预测此类肿瘤在完全切除后可实现100%的无病生存率。因此,2015年WHO分类将这些肿瘤归类为“鳞屑状为主的腺癌,疑似MIA”。
3. 通过逐步连续体基因解码分子发病机制
肺腺癌的多阶段进展特征得到了肿瘤分子和临床病理学特征的支持。从AAH到AIS,进而发展为侵袭性腺癌的进展,是基于下述分子证据。
3.1. 急性胰腺炎
AAH 是肺腺癌的推测病因。多种分子学发现支持非典型腺瘤样增生(AAH) 的癌前性质,这些发现表明非典型腺瘤样增生(AAH) 与腺癌之间存在相似性。AAH 证实了克隆性、染色体杂合性缺失(包括 9q 和 16p)、 EGFR、BRAF、KRAS、FGFR3和ERBB2突变、CCND1(细胞周期蛋白 D1 )高表达,以及CDKN2A(p16 )低表达和表观遗传下调。AAH 具有肺腺癌中观察到的一些分子改变,这支持了非典型腺瘤样增生(AAH) 发展为腺癌的观点。这些基因解码已经确定了非典型腺瘤样增生(AAH) 发病机制的几个方面;然而,其分子病理学的复杂性仍不清楚,必须进一步阐明。
3.2. 自动识别系统
在多步骤连续体中,AIS 是非典型腺瘤样增生(AAH) 和 微浸润性腺癌(MIA)之间的中间步骤;然而,很少有证据表明导致从非典型腺瘤样增生(AAH) 进展到原位腺癌(AIS) 的分子事件。异常 DNA 甲基化沿着连续体逐渐增加 。与非典型腺瘤样增生(AAH) 相比,AIS 中特定的 CpG 岛明显高甲基化。端粒缩短和 DNA 损伤反应 (DDR) 被认为是肺癌发生的早期事件。DDR 蛋白以及编码端粒特异性 DNA 结合蛋白的TERF1和TERF2的 mRNA 的表达水平与非典型腺瘤样增生(AAH) 到原位腺癌(AIS) 的进展相关。如本综述所述,包括EGFR、KRAS和BRAF在内的驱动基因突变被认为与腺癌的发生和进展有关。
3.3. MIA
微浸润性腺癌(MIA)是一种早期侵袭性腺癌;因此,其基因变异与导致侵袭的分子事件相关。肺腺癌通过多步骤连续体进行的侵袭性与多种分子事件相关。对于含有EGFR突变的腺癌,EGFR扩增参与了从原位腺癌(AIS) 到MIA的转变。TTF -1扩增通常与EGFR扩增同时发生。在进展为侵袭性肿瘤的过程中,TP53 突变的频率会增加。侵袭性肿瘤中等位基因不平衡的区域数量更高。TGFBR2抑制是侵袭性的决定因素。MiR -9-5p通过下调TGFBR2表达来促进侵袭。5p 染色体上PDCD6和TERT的扩增和过表达促进侵袭。层粘连蛋白 5是一种侵袭相关分子,在原位腺癌(AIS) 进展为 微浸润性腺癌(MIA)的过程中被激活。
4.非典型腺瘤样增生(AAH)、AIS 和侵袭性腺癌的驱动突变
EGFR-RAS-RAF-MEK(MAP2K)-ERK(MAPK1)信号通路是细胞生长和转化的关键调节因子。该信号通路被激活后,会导致细胞增殖失控、细胞存活率增加以及肿瘤的发生和发展。EGFR是属于ERBB家族的受体酪氨酸激酶,而KRAS是活化EGFR的重要效应物。KRAS致癌基因属于RAS基因家族,该家族编码鸟苷-5′-三磷酸结合蛋白。BRAF是RAF基因家族的成员,它编码一种丝氨酸-苏氨酸蛋白激酶,它是活化RAS的下游效应物,可激活MEK(MAP2K),并通过激活ERK(MAPK1)导致肿瘤的发生和发展。
4.1. EGFR和KRAS
Sakamoto 等人基因解码了119 例同时性肺部病变中的EGFR和KRAS突变,其中包括 40 例非典型腺瘤样增生(AAH)、26 例原位腺癌(AIS)、14 例 微浸润性腺癌(MIA)和 34 例明显的侵袭性腺癌。EGFR和KRAS突变的互斥性质即使在侵袭前病变(AAH 和原位腺癌(AIS))中也得以维持,类似于侵袭性腺癌。值得注意的是,这些作者证明KRAS突变的发生率沿逐步连续体下降:AAH 为 33%,AIS 为 12%,微浸润性腺癌(MIA)为 8%,高分化侵袭性腺癌为 0%。相反,EGFR突变的频率沿多级连续体以相似的比例分布。有趣的是,中分化和低分化腺癌比高分化腺癌更容易发生KRAS突变(分别为 18% 和 17%) ,这表明KRAS突变和其他基因组事件可能导致从头致癌。在吸烟状况方面,吸烟者中KRAS突变的非典型腺瘤样增生(AAH) 和腺癌更常见。至于EGFR突变,虽然侵袭性腺癌中EGFR突变与不吸烟之间存在显著关联,但一半的非典型腺瘤样增生(AAH) 病变发生在吸烟者中。吸烟者非典型腺瘤样增生(AAH) 病变中KRAS突变的频率相对较高,这与最近的高通量基因解码的结果一致。肺腺癌基因解码还基因解码了 110 例原位腺癌(AIS) 病变中吸烟状况与分子特征之间的关联。肺腺癌基因解码证明,在AIS病变中, EGFR和KRAS的突变率与吸烟状况无关。相反,在浸润性腺癌中,EGFR和KRAS的突变与吸烟状况显著相关:非吸烟者存在EGFR突变,吸烟者存在KRAS突变,这与先前基因解码的结果一致。这些结果表明,AIS可能是肺腺癌的一种独特的生物学实体,吸烟不仅是AIS的诱因,也是浸润的促进因素。
4.2. BRAF
新兴证据表明,AAH 和原位腺癌(AIS) 病变经常伴有BRAF突变,尽管在侵袭性腺癌中BRAF突变的频率较低。根据 Sivakumar 等人的基因解码,BRAF是非典型腺瘤样增生(AAH) 中最常见的突变基因(23%),其次是KRAS(18%)。非典型腺瘤样增生(AAH) 中的KRAS突变与吸烟者有关,而BRAF突变与吸烟史无关,这与另一项基因解码的结果一致。值得注意的是,在与BRAF突变的非典型腺瘤样增生(AAH) 病变共存的肺腺癌中未发现BRAF突变,而五例BRAF突变的非典型腺瘤样增生(AAH) 肿瘤中有四例与EGFR突变的腺癌共存。在基因解码的AAH病变中,BRAF突变与KRAS突变互斥。这一结果也与类似基因解码的结果一致。
4.3. EGFR 与 KRAS 和 BRAF
值得注意的是, KRAS和BRAF突变的频率在侵袭性病变中高于侵袭性病变,而EGFR突变的频率在侵袭性病变中与侵袭性病变相似(图 4)。这些结果表明KRAS或BRAF突变会诱导细胞增殖和细胞异形性;然而,含有KRAS或BRAF突变的侵袭性病变很少发展为侵袭性病变,除非它们发生额外的基因组改变(图 4)。含有KRAS突变的侵袭性病变可能在吸烟引起的额外基因组突变后变得具有侵袭性,因为众所周知KRAS突变与侵袭性腺癌中的吸烟之间存在关联。含有BRAF突变的侵袭性病变也可能在额外的基因组改变后变得具有侵袭性。然而,更合理的解释包括由于KRAS或BRAF突变和其他基因组变化(包括 DNA 修复缺陷或吸烟引起的基因组不稳定性)从正常肺上皮细胞新生发展为KRAS或BRAF突变的侵袭性腺癌(图 4)。

图 4.AAH 由正常的肺泡 II 型细胞或棒状(Clara)细胞在EGFR、KRAS和BRAF突变后发展而来。EGFR突变的非典型腺瘤样增生(AAH) 进展为原位腺癌(AIS),随后在EGFR / TTF-1扩增后发展为浸润性腺癌。KRAS或BRAF突变的AAH 很少进展为原位腺癌(AIS) 或浸润性腺癌,但在TP53 /CDKN2A (p16) 失活或其他基因组事件(虚线箭头)后可能会进展为原位腺癌(AIS) 或浸润性腺癌。KRAS或BRAF突变的浸润性腺癌可能通过涉及KRAS或BRAF突变和其他基因组事件的从头通路源自正常肺上皮。实线箭头表示进展。AAH,非典型腺瘤性增生;AIS,原位腺癌;amp,扩增;inact,失活;mut,突变。
5. 肺癌发生的驱动突变
EGFR、KRAS和BRAF突变频率在浸润前和浸润性病变中的比较关联,可以通过使用持续表达这些突变体的小鼠进行的实验来解释。
5.1. 表皮生长因子受体
EGFR突变腺癌的特点是东亚民族、女性、无吸烟史或轻度吸烟史,以及鞋钉状细胞形态。由于EGFR突变腺癌通常通过假定的多步骤连续过程发展,因此东亚人群中非典型腺瘤样增生(AAH)、AIS 和 微浸润性腺癌(MIA)的发病率较高。EGFR 的突变和扩增密切相关,EGFR扩增仅发生在EGFR突变的腺癌中[。在EGFR突变腺癌的逐步发展中,EGFR扩增在进展为侵袭性腺癌中起着至关重要的作用。
Ji 等人构建了双转基因小鼠,其中两种常见的 EGFR 突变(即外显子 19 缺失和外显子 21 的 L858R 点突变)可在肺泡 II 型肺泡上皮细胞中诱导表达 。在 EGFR 突变体持续表达后,双转基因小鼠通过多步骤连续过程发展为侵袭性肺腺癌:从非典型腺瘤样增生(AAH) 进展为原位腺癌(AIS),进而发展为具有鳞屑状特征的侵袭性腺癌 。这些作者证明,EGFR 突变体的持续表达不仅对肿瘤发展至关重要,而且对肿瘤稳定性也至关重要,并且针对 EGFR 突变肺腺癌的 EGFR 靶向治疗效果显著,这表明 EGFR 突变体直接参与肿瘤的维持。
5.2. KRAS
使用人类浸润前和浸润性病变的基因解码表明,KRAS突变在浸润前病变中比在浸润性病变中更常见。这些不一致的频率可以通过使用持续表达KRAS突变体的小鼠的实验来解释。Johnson 等人证明KRAS致癌基因的活性体细胞突变会导致小鼠早发性肺癌。KRAS突变体导致良性、非侵袭性肺泡肿瘤,与非典型腺瘤样增生(AAH) 非常相似。只有选定的细胞谱系(肺泡 II 型肺泡细胞,而不是棒状(Clara)细胞)受到KRAS突变体表达的影响,并且良性肺泡肿瘤通过 TP53 失活发展为侵袭性腺癌。Collado 等人基因解码表明,小鼠中KRAS突变的良性外观细支气管肺泡肿瘤具有与侵袭性腺癌不同的生物学特征。具有KRAS突变的良性外观肿瘤经历了致癌基因诱导的衰老,如衰老相关 β-半乳糖苷酶的表达 和衰老相关异染色质灶的存在。这些作者得出结论,KRAS突变的良性外观肿瘤中大量细胞经历了致癌基因诱导的衰老,但KRAS突变的侵袭性腺癌不会经历衰老,因为致癌基因诱导的衰老效应分子(如 TP53 和 CDKN2A)失活。至于结直肠肿瘤中的KRAS突变,Bennecke 等人。基因解码表明,携带KRAS突变的小鼠肠上皮细胞会出现锯齿状增生,其特征是CDKN2A过表达和衰老诱导。然而,在表达突变型KRAS的小鼠中,CDKN2A的缺失阻止了细胞向衰老的进展,并导致了侵袭性和转移性腺癌,其形态学和分子特征与KRAS突变型腺癌相似。突变型KRAS诱导的细胞转化不足以驱动致癌作用;KRAS突变细胞需要其他基因组事件,包括TP53通路失活背景下的基因组不稳定性。KRAS诱发致癌作用的其他机制包括活性氧 (ROS) 水平升高,以及 ROS 生成与细胞恶性转化的关系。由于下游效应子的复杂性,KRAS驱动的致癌作用机制仍不清楚。总的来说,虽然确切的机制仍不清楚,但KRAS突变在细胞衰老和致癌作用中发挥着不同的作用。
2017 年,Vaz 等人证明,长期接触香烟烟雾会诱导支气管上皮细胞发生进行性表观遗传改变,使这些细胞对单个KRAS突变的转化敏感,最终导致肺癌的发展。他们的基因解码结果提供了一种范例,其中表观遗传改变可能先于(并使细胞对)导致肺癌的遗传事件发生敏感。甲基化基因异常与肺癌吸烟者中常见的基因异常有很大重叠。长期接触香烟烟雾会导致在调节 WNT 信号(SFRP2、SFRP5和WIF1)、 TP53 的凋亡功能 ( MSX1 ) 和 RAS/MAPK 信号(BMP3、WIF1和GATA4)中发挥重要作用的基因高甲基化。这些表观遗传改变的通路,包括 RAS/MAPK和 WNT 通路,可能导致香烟烟雾诱发的肺癌。总之,吸烟会诱发表观遗传改变,使细胞易受关键遗传事件(例如KRAS突变)的影响,从而导致致癌作用。此后,改变的通路或其他基因组事件可能会促进肿瘤进展。
5.3. BRAF
BRAF V600E突变导致致癌基因诱导的衰老,类似于KRAS突变诱导的衰老。AAH和侵袭性腺癌中BRAF突变的相关性与黑素细胞痣和恶性黑色素瘤的相关性相对应,这两者都携带致癌BRAF V600E突变。黑素细胞痣是一种常见的黑素细胞来源的良性肿瘤。尽管痣经常含有致癌BRAF V600E突变,但痣生长的初始阶段通常伴随着致癌基因诱导的衰老导致的生长停滞,从而阻断了BRAF V600E介导的致癌信号传导。BRAF V600E突变体诱导的生长抑制反应表现出典型的衰老特征(即 CDKN2A 和衰老相关酸性 β-半乳糖苷酶活性的诱导)。相反,BRAF V600E突变的痣通过 TP53 通路或 CDKN2A 的失活发展为恶性黑色素瘤。
2017 年,Nieto 等人发现了激酶失活BRAF突变在肺腺癌发生中的作用。已知激活BRAF突变(例如BRAF V600E )的致癌机制可促进 MEK-ERK 活化;然而,激酶失活BRAF突变的生物学作用尚不清楚,这些突变在肺腺癌中比激活BRAF V600E突变更常见。另一方面,在部分KRAS激活的肺癌中已发现了失活BRAF突变。这些作者证明,内源性激酶失活BRAF突变的表达会触发小鼠肺腺癌的发展,表明BRAF失活突变会引发肺癌发生。此外,在小鼠肺细胞中,激活的 KRAS 突变和失活的 BRAF 突变的共表达显著增强了肿瘤的发生,这种现象由 CRAF 激酶活性介导,并有效加速了肿瘤进展为晚期肺腺癌。他们的基因解码结果还表明,MAPK 通路的信号强度不仅是肿瘤发展的关键决定因素,也是肿瘤发生的关键决定因素。
6.基因检测共识及佳学基因进一步改进的方向
本综述总结了早期肺腺癌的肿瘤发生和进展的知识状况,特别关注其临床病理特征及其与驱动突变(EGFR、KRAS和BRAF)的关联。大多数肺腺癌病例发现时已是晚期;因此,需要在可治愈阶段改进检测以减少与疾病相关的死亡人数。最常见的腺癌亚群,包括EGFR突变的腺癌,似乎从AAH发展到AIS、MIA,再发展为具有鳞屑状模式的明显侵袭性腺癌,这在TRU型腺癌中很常见。相反,致癌基因诱导的衰老可能会降低KRAS或BRAF突变腺癌中逐步进展的频率。致癌基因诱导的衰老、表观遗传学改变或激酶失活突变可能与KRAS或BRAF突变腺癌的肿瘤演化有关。虽然肺腺癌的肿瘤发生机制尚不清楚,但更好地了解此类病例的肿瘤发生和进展,可能有助于制定有效的预防、筛查和治疗策略。
(如果您已经做了基因检测,想获取与基因检测型相对应的治疗方案,请点击此处上传您的基因检测结果)
(责任编辑:佳学基因)