【佳学基因检测】从肺泡微石症基因检测多案例分析得出的基因检测及健康维护
根据《呼吸系统的临床表征及基因检测需求》,肺泡微结石症 (PAM) 是一种由佳学基因检测进行检测与分析常染色体隐性肺病,由编码钠依赖性磷酸转运蛋白 2B(NaPi-2b) 的SLC34A2基因变异引起。肺泡微石症 (PAM) 的特征是肺泡中沉积磷酸钙晶体。发病和临床病程差异很大;一些患者无症状,而另一些患者则发展为严重的呼吸衰竭,症状负担严重,生存率低下。在没有采用基因解码基因检测的情况下,由于缺乏识别疾病的方法和意识、临床表现轻微,广泛存在误诊所情况。肺泡微石症 (PAM) 可能未被正确识别并诊断。大多数患者的诊断记录上没有基因检测结果,因为现在被医生掌握的技术不包括通过基因检测分析肺泡微石症 (PAM) 。由于基因解码技术的快速发展和认可,基因检测可能成为诊断的首选工具,而不是侵入性方法。《从肺泡微石症基因检测多案例分析得出的基因检测及健康维护》旨在详述肺泡微石症 (PAM) 基因检测方面的重要知识。这一检测准确性很高,几乎所有接受基因检测的患者都发现了SLC34A2中的罕见变异。到目前为止,至少有 68 名患者被鉴定出 34 种等位基因变异。其中大多数以纯合状态存在;然而,少数以复合杂合形式存在。大多数等位基因变异仅涉及单个核苷酸。一半的变异要么是无意义的,要么是移码的,导致蛋白质过早终止或 mRNA 衰减。目前尚无治愈 肺泡微石症 (PAM) 的方法,唯一有效的治疗方法是肺移植。治疗主要是对症治疗,但对潜在病理生理学的更好理解有望导致有针对性的治疗方案的开发。更多关于 肺泡微石症 (PAM) 患者的标准化数据,包括覆盖更大国际人群的基因诊断,将支持设计和实施有益于患者的临床研究。进一步的基因表征和对分子变化如何影响疾病表型的理解有望在未来实现对该疾病的早期诊断和治疗。
肺泡微石症基因检浊关键词:
肺泡微结石症;间质性肺病;肺钙化;遗传性疾病;先天性;SLC34A2变异;SLC34A2突变;SLC34A2;溶质载体家族 34(磷酸钠),成员 2 蛋白,人类
佳学基因检测为什么安排特殊团队进行肺泡微结石症的基因检测?
肺泡微结石症 (PAM) (OMIM #265100) 是一种常染色体隐性肺病,肺泡内会形成磷酸钙结石(微结石)。1933 年,匈牙利医生 Ludwig Puhr 首次诊断肺泡微石症 (PAM) 并对基因进行命名命名。佳学基因通过基因解码技术揭示并通过基因测序技太对该病进行分子诊断。该病是由SLC34A2基因(Entrez Gene ID 10568)的变异引起的,该基因编码钠依赖性磷酸盐转运蛋白 2B,NaPi-2b。该蛋白属于钠转运蛋白家族 SLC34,参与人体内无机磷酸盐 (Pi) 浓度和动态变化的正常化。根据《人体遗传病的发病率及发病原因》,佳学基因收录的肺泡微石症患者达到并超过1200 例,大多数病例记录来自亚洲和欧洲。既有家族性病例,也有散发性病例。据报道,几乎所有患有 肺泡微石症 (PAM) 的家族中,疾病的传播方式可能是水平传播(即通过非遗传方式,如环境或行为因素)。在极少数垂直传播(即从父母遗传给子女)的情况下,通常存在近亲结婚的情况。
简单来说,如果父母含有导致疾病发生的基因突变,则可能通过遗传传给下一代。如果父母是近亲结婚,可能会导致疾病遗传给子女。如果没有致病基因,则传播都是水平的,是通过环境的共同影响,而使疾病的发生存在聚集性。在这种情况下,通过检视环境,可以降提高家族成员的健康水平。《从肺泡微石症基因检测多案例分析得出的基因检测及健康维护》将概述 PAM,重点放在导致疾病发生的基因突变。
现有肺泡微结石症的诊断、临床特征和治疗
目前,肺泡微石症 (PAM) 的诊断依据是典型的 X 射线外观和在支气管肺泡灌洗 (BAL) 液或肺活检中检测到特征性微结石。微结石由钙质同心层压体组成,直径通常小于 1 mm,主要由钙和磷组成。其他伴随特征包括肺间质的炎症、纤维化和钙化。佳学基因研究了肺泡微石症 (PAM) 的病理生理学。基因解码发现,肺泡中微结石的沉积是由于降解的表面活性磷脂中的磷酸盐积聚所致。正常情况下,磷酸盐会通过位于肺泡 II 型细胞顶端膜的 NaPi-2b 运输从肺泡腔中清除。当转运蛋白不能正常工作时,就会导致肺泡腔内磷酸盐过量,进而导致细胞外钙沉淀(图1)。
图 1.肺泡微石症的基因解码

佳学基因解码揭示肺泡微石症 (PAM) 的病理生理。肺泡中的肺泡 II 型细胞。顶端膜中的钠磷酸盐共转运体 (NaPi-2b) 功能失调,导致细胞从肺泡空间吸收磷酸盐减少,并因螯合作用而沉积磷酸钙结石 (微石)
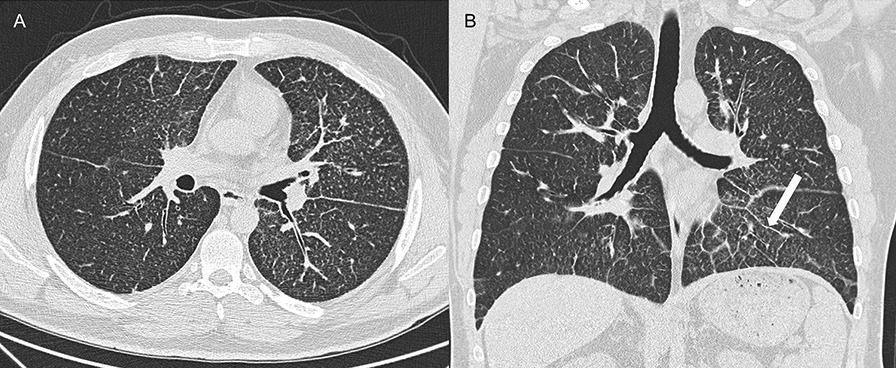
尽管佳学基因收集的肺泡微石症 (PAM)病例发生在不同年龄段,但大多数患者是在 10 至 30 岁之间诊断出来的。许多患者是偶然诊断出来的,这怀与家族性健康检查有关。呼吸困难、干咳、疲劳和胸痛是有症状患者的常见症状。气胸、杵状指、咯血、缺氧和发绀均也在病例中得到记录 。肺功能通常正常或呈限制性模式。PAM通常进展缓慢,但也可能观察到较轻或更具侵袭性的病程。通过X 射线进行胸透检查通常很明显,与临床严重程度不成比例。胸部 X 光检查通常显示与钙化相对应的沙粒状图案,以双侧基底区和中间区为好发区。高分辨率计算机断层扫描 (HRCT) 上可见整个肺部分布着大量粟粒状钙化结节(图 2)。X 线表现非常有特征性,对于具有典型 HRCT 表现的病例,无需进行肺活检即可确诊。
图 2.肺泡微结石症患者的HRCT示例

根据病例分析,肺泡微石症 (PAM) 患者可出现肺外钙化,这可能反映的是一种综合征,而非一种局限性肺部疾病。尽管肺外表现的发生率尚不清楚,但可以合理地假设,这是一种常见的表现,因为SLC34A2在肺组织以外的组织中也有表达。
迄今为止,除肺移植外,尚无有效的治疗方法。少数病例研究报告了双膦酸盐、羟乙膦酸盐的有益作用,而其他一些病例研究则报告了该治疗无益处。一般认为,使用全身性皮质类固醇是无效的,尽管在少数病例中报告了症状改善。此外,治疗性 BAL 已被证明无效,尽管在 1 例病例中描述了症状改善。缺氧患者应考虑补充氧气治疗。肺泡微石症 (PAM) 的长期随访数据很少,因此预后未知。然而,目前的数据表明长期预后不良。吸烟、吸入鼻烟、反复肺部感染和寒冷天气等多种环境因素都被认为会对疾病进程产生负面影响。监于临床治疗方法的缺乏,通过基因检测阻断遗传,避免后代发病,是对家庭健康的有效贡献。
为什么有些人会罹患肺泡微石症这种难治之症?
SLC34A2:遗传方面与基因检测
SLC34A2位于 4 号染色体短臂 (4p15.2) 上。它包含 13 个外显子,其中第一个外显子似乎存在多个替代版本,均为非编码版本。SLC34A2编码一个由 690 个氨基酸组成的蛋白质 (NaPi-2b)。该基因在硬骨脊椎动物中高度保守,因此变体可能会对蛋白质的功能产生影响。蛋白质水平的表达主要在动物中进行研究。除了肺组织外,蛋白质水平的表达也见于小肠、乳腺、肝脏、胆管和附睾等组织。此外,SLC34A2在不同癌症类型的表面表达,并且是非小细胞肺癌中已知的ROS1 (ROS 原癌基因 1,受体酪氨酸激酶)融合伴侣。
钠磷酸转运蛋白 NaPi-2b
NaPi-2b ( NP_006415 ) 是转运蛋白家族 SLC34 的成员,该家族包括蛋白质亚型 NaPi-2a(由SLC34A1编码)和 NaPi-2c(由SLC34A3编码)。该蛋白质家族对于维持人体内 Pi 稳态至关重要,而其调节由肠道(NaPi-2b)和肾脏(NaPi-2a、NaPi-2c)介导。NaPi-2a 和 NaPi-2b 都是电生共转运蛋白,化学计量为 3:1(Na + :P i ),而NaPi-2c 是电中性的,化学计量为 2:1(Na + :P i)。该家族任何成员的晶体结构均尚未确定,甚至细菌同源物的晶体结构也尚未确定。因此,目前对结构和功能的认识主要基于用不同的生物物理和生化方法对野生型和设计变体进行的间接研究。推测真核转运蛋白的 SLC34 组具有相同的跨膜 (TM) 拓扑结构。预测的异构体的拓扑模型由 12 个 TM 结构域组成,其中包括两个倒置重复区域、一个具有两个 N-糖基化位点的大型胞外环和一个连接蛋白质两半的二硫键,以及位于细胞内的 C 端和 N 端区域。推测 TM 结构域 3–4 和 8–9 形成底物配位位点。重要的调控和靶向区域位于 C 端区域和 TM 结构域 10 和 11 之间的区域。电性关键区域位于 TM 结构域 4 和 5 之间。最近,以细菌二羧酸共转运体 VcINDY 的拓扑结构为模板,建立了人类 NaPi-2 的三维结构模型。
NaPi-2b 表达的调控
NaPi-2b 的表达受多种因素调控。肠道中的表达取决于膳食 Pi 水平,当膳食水平降低时,肠道上皮中的表达水平会增加。有趣的是,肺泡 II 型细胞中 NaPi-2b 的表达似乎不受膳食磷酸盐摄入的影响 。在肠道中,雌激素、维生素 D 3和代谢性酸中毒会上调 NaPi-2b 的表达,而糖皮质激素、表皮生长因子 (EGF) 和维生素 D 受体 (VDR) 缺乏时会抑制该表达。此外,地塞米松已被证明可以下调 NaPi-2b 的 mRNA 表达,并降低大鼠培养的 II 型肺泡细胞对磷酸盐的吸收。与此相反,研究发现,大鼠肺中的 NaPi-2b 不受维生素 D 类似物 ED-71(1α,25-二羟基-2β-(3-羟基丙氧基)维生素 D3)在 mRNA 水平上的调节。
肺泡微石症 (PAM) 等位基因变异谱
2006 年,通过基因解码确认SLC34A2基因变异 肺泡微石症 (PAM) 的病因。此后,病例集中至少有 68 例患者(49 个家族)记录了 34 种等位基因变异(图 3,表1)。但是据佳学基因分析,目前仅约 5% 的患者接受过基因检测。然而,在超过 95% 的受检患者或家族中发现了SLC34A2的致病等位基因变异。在患有 肺泡微石症 (PAM) 的三位兄弟姐妹中,外显子 2 中的序列中报告了一种变异,根据《呼吸系统的临床表征及基因检测需求》,该序列并不位于SLC34A2的编码区中。因此,本文不再对此变异进行进一步介绍。曾有遗传学上无法解决的病例报道,也曾发表过关于少数不携带SLC34A2变异的患者的报道。其中一名患者仅报道了单个等位基因上的一个致病变异。此外,一名骨髓纤维化患者的细胞遗传学研究显示 4 号和 5 号染色体长臂发生重排;该患者随后被诊断为 PAM。必须付出更多努力来阐明哪些基因变异导致了这些患者患病,因为所选的SLC34A2分析方法可能不够充分。如果测序的基因区域仅限于编码部分和内含子-外显子边界,则内含子或启动子区域的变异可能会被忽视。此外,检测更大的缺失需要另一种分析方法。通常基于全外显子的基因解码会识别并发现更多种类的基因突变,从而提高检出率。
图 4.肺泡微石症患者的常见突变

文献报道的 肺泡微石症 (PAM) 患者SLC34A2等位基因变异。红色小方块表示发现单个变异的家族数量。窄框表示非编码外显子,宽框表示编码外显子。外显子、内含子和缺失未按比例绘制。除非另有说明,否则变异以纯合形式存在
表 1.49 个家族/68 名患者携带SLC34A2致病变异及变异特性的总结
|
ID
|
等位基因状态 | 外显子 | 核苷酸改变 | 蛋白质变化 | 蛋白质定位* | 致病性 |
| 计算机预测† | ||||||
| 1–6 | Hom | 1 | c.-6773_-6588del | p.? | 涉及启动子区和例1 | NA |
| 7 | Hom | 2–6 | ∼ 5.5 kb deletion | p.? | N 端连接至小 IC 环路,TMD 4–5 之间 | NA |
| 8–9 | Hom | 3 | c.114delA | p.Asp39IlefsTer7 | N 端 | Yes |
| 10 | Hom | 3 | c.212_224del | p.Asn71IlefsTer27‡ | N 端 | NA |
| 11–16 | Hom | 3 | c.226C>T | p.Gln76Ter | N 端 | Yes |
| 17–18 | Hom | 4 | c.316G>C | p.Gly106Arg | TMD 1 | Yes |
| 19 | Het | 4 | c.316G>A | p.Gly106Arg | TMD 1 | Yes |
| Het | 11 | c.1238G>A | p.Trp413Ter | TMD 7 | Yes | |
| 20–21 | Hom | 5 | c.380-345_ c.523+659del | p.? | TMD 1–2 和 TMD 3 部分之间的小 EC 环路 | NA |
| 22 | Het | 5 | c.448G>A | p.Gly150Arg | TMD 2 | Yes |
| Het | Int. 5 | c.524-1G>C | p.? | 受体剪接位点 | Yes†† | |
| 23–24 | Hom | Int. 5-Ex. 6 | c.524-18_559del | p.? | TMDs 3–4 | NA |
| 25 | Hom | 6 | c.560G>A | p.Gly187Glu | TMD 4 | Yes |
| 26–28 | Hom | 6 | c.575C>A | p.Thr192Lys | TMD 4 | Yes |
| 29–31 | Hom | 6 | c.593T>C | p.Ile198Thr | TMD 4 | Yes§ |
| 32 | Hom | 7 | c.646G>T | p.Gly216Ter | 小型 IC 回路介于 TMD 4–5 l之间 | Yes |
| 33–34 | Hom | 8 | c.857_871delins19 | p.Ile286LysfsTer29 | 大型 EC 环 | NA |
| 35 | Hom | 8 | c.893_897delTTGTC | p.Leu298GlnfsTer14 | 大型 EC 环 | NA |
| 36 | Hom | 8 | c.906G>A | p.Trp302Ter | 大型 EC 环 | Yes |
| 37–42 | Hom | 8 | c.910A>T | p.Lys304Ter | 大型 EC 环 | Yes |
| 43 | Het | 8 | c.910A>T | p.Lys304Ter | 大型 EC 环 | Yes |
| Het | 12 | c.1363T>C | p.Tyr455His | 小型 IC 环路介于 TMD 8–9 之间 | Yes | |
| 44–47 | Hom | Int. 9 | c.1048+1G>A** | p.? | 供体剪接位点 | Yes†† |
| 48 | Het | Int. 9 | c.1048+1G>A | p.? | 供体剪接位点 | Yes†† |
| Het | 12 | c.1390G>C | p.Gly464Arg | TMD 9 | Yes | |
| 49 | Hom | 10 | c.1136G>A | p.Cys379Tyr | TMD 6 | Yes |
| 50 | Hom | 11 | c.1238G>A | p.Trp413Ter | TMD 7 | Yes |
| 51–52 | Hom | 11 | c.1327delC | p.Leu443Ter | TMD 8 | Yes |
| 53–54 | Hom | 11 | c.1328delT | p.Leu443ArgfsTer6 | TMD 8 | Yes |
| 55 | Hom | Int. 11 | c.1333+1G>A | p.? | 供体剪接位点 | Yes†† |
| 56 | Hom | 12 | c.1342delG | p.Val448Ter | TMD 8 | Yes |
| 57–58 | Hom | 12 | c.1342_1361del | p.Val448LeufsTer209 | TMD 8 | NA |
| 59–60 | Hom | 12 | c.1390G>C | p.Gly464Arg | TMD 9 | Yes |
| 61–63 | Hom | 12 | c.1402_1404delACC | p.Thr468del | TMD 9 | Yes |
| 64 | Hom | 12 | c.1456C>T | p.Gln486Ter | 位于 TMD 9–10 之间的小型 EC 环路 | Yes |
| 65–66 | Hom | 13 | c.1493G>T | p.Gly498Val | TMD 10 | Yes |
| 67 | Hom | 13 | c.1653_1660del | p.Trp552AlafsTer80‡‡ | 位于 TMD 11–12 之间的小型 EC 环路 | NA |
| 68 | Hom | 1–13 | Whole gene deletion | NA | NA | NA |
btw.之间、Het复合杂合、EC细胞外、Hom纯合、IC细胞内、Id.患者识别、Int.内含子、NA不适用、Ref.参考、TMD跨膜结构域。* NaPi-2b 模型是通过将 NaPi-2b 叠加在大鼠 NaPi-2a 预测拓扑上而制成的,该模型经过 Forster 等人 2013 年和 Virkki 等人 2007 年的修改,用于预测变体的蛋白质位置(图 5),†变体被预测为致病、可能或很可能通过以下至少一种方式造成损害或有害:Mutation Taster、PANTHER、Polyphen-2、PROVEAN 和 Human Splicing Finder。‡最初报告为 p.Asn71IlefsX25,§ PANTHER 预测:“可能是良性的”,l假定为电性关键区域,**最初报告为 IVS8 + 1G>A ,†† Human Splicing Finder 预测:“WT 受体/供体位点改变,很可能影响剪接”。‡‡最初报告为 p.Trp552AlafsTer109 。SLC34A2 DNA 参考序列:Ensembl 转录本 ID ENST00000382051.8(GRCh38.p13 组装)
佳学基因对之前在几种标准计算预测工具中报告的等位基因变异进行了评估。所有可分析的变异均被至少一种预测工具预测为有害,这进一步支持了这些变异的致病性(表1)。已报告了五个较大的缺失,包括整个基因缺失、跨越外显子 2-6 的缺失、包括外显子 5 的缺失、跨越内含子 5 最后部分和外显子 6 前三分之一的缺失以及涉及启动子和外显子 1 的 186 个核苷酸的缺失。此外,在内含子 5、9 和内含子 11 中分别发现了三个剪接位点变异。剪接位点变异和较大的缺失最有可能导致蛋白质功能丧失或截短,从而降低蛋白质活性。大多数变异(15/34)要么是无义的,要么是移码的(图 5),导致蛋白质过早终止或 mRNA 可能衰减,随后没有任何蛋白质形成。这些变异分布在整个基因中。一半的错义变异和一个框内缺失位于蛋白质中可能具有重要功能的区域,可能导致蛋白质损伤(图 5)。
图 4.

肺泡微石症 (PAM) 中报告的等位基因变异类型。剪接位点 9%(3 种变异)、无义 24%(8 种变异)、错义 29%(10 种变异)、大片段缺失 15%(5 种变异)、框内缺失 3%(1 种变异)和移码 21%(7 种变异)
图 5.

文献中SLC34A2的等位基因变异体以 NaPi-2b 模型标记。剪接位点变异体和较大的缺失(c.-6773_-6588del、涉及外显子 2-6 的 5.5 kb 缺失、c.380-345_ c.523+659del、c.524-18_559del 和整个基因缺失)未包含在图中。所有变异体在图中均以点显示。浅蓝色:错义变异体,红色:无义变异体,深蓝色:移码变异体,黄色:框内缺失。红色的跨膜 (TM) 结构域(TM 结构域 3-4 和 8-9)形成底物配位位点。在 TM 结构域 4-5、10-11 之间的区域以及 C 末端区域发现了电性、调控和靶向区域。该模型是通过将人类 NaPi-2b 叠加在大鼠 NaPi-2a 预测的拓扑结构上而形成的,并
外显子 12 最常受到影响,几乎三分之一 (10/34) 的等位基因变异位于外显子 11-12 和内含子 11 的 129 个核苷酸内的同一基因组区域内。两个变异 (c.1402_1404delACC 和 c.1390G>C) 位于四个 3 核苷酸 (ACC) 串联重复序列中或附近,这可能导致复制错误。此外,两个等位基因变异 (c.316G>C 和 c.316G>A) 在蛋白质水平上导致相同的变化 (p.Gly106Arg),两个变异 (c.1327delC 和 c.1328delT) 影响另一个氨基酸 (Leu443)。因此,氨基酸位置 106 和 443 可能代表 NaPi-2b 中致病变异的其他热点。
在几乎所有患者中,所鉴定的变异都处于纯合状态。仅描述了四例复合杂合状态的变异(组合 c.316G>A 和 c.1238G>A、c.448G>A 和 c.524-1G>C、c.910A>T 和 c.1363T>C 以及 c.1048 + 1G>A 和 c.1390G>C)。引人注目的是,这些变异组合由一个错义变异与另一个等位基因上的无义变异或剪接位点变异组成。其中一些变异此前已在几名患者中被描述为纯合状态。报道称,一名患者仅携带一种致病等位基因变异,仅凭这一点不太可能解释该疾病的遗传原因,因为 肺泡微石症 (PAM) 被认为遵循隐性遗传模式,并且从未在携带者中报告过患病。
到目前为止,大多数(22/34)等位基因变异仅在单个患者或一个家族中报道过。四种变异(c.226C>T、c.910A>T、c.1048 + 1G>A 和 c.1402_1404delACC)已在三至五个无亲缘关系的患者/家族中描述(图 3、表2)。到目前为止,c.226C>T 仅见于中东血统的患者,c.910A>T 见于中国患者,c.1048 + 1G>A 见于日本患者,c.1402_1404delACC 见于欧洲血统的患者。
表 2.SLC34A2变异患者的人口统计学、症状和吸烟状况
|
SLC34A2 variant
|
Patients | Sex, Age (yrs.) in report*/at diagnosis | Origin | Cons | Symptoms | Smoking | Other |
| (Age at debut of symptoms) | |||||||
| c.-6773_-6588del† | 1 (uncle) | M, 34/25 | TUR | Yes | Gradual decrease in exercise tolerance and dyspnoea (25) | Yes | |
| 2 (sib 1/2) | M, 17/7 | Yes, not specified (7) | Yes | ||||
| 3 (sib 2/2) | M, 13/3 | Yes, not specified (3) | No | ||||
| 4 (sib 1/3) | M, 17/11 | No | No | ||||
| 5 (sib 2/3) | M, 15/9 | No | No | ||||
| 6 (sib 3/3) | M, 11/5 | No | No | ||||
| 5.5 kb deletion† | 7 | F, 56/56 | JAP | Yes | Progressive dyspnoea (−) | – | PH |
| c.114delA† | 8 | F, 20/9 | TUR | – | Growth retardation as child. No clinical findings at age 20 (9) | No | |
| 9 | F, 38/– | TUR | – | No | No | ||
| c.212_224del† | 10 | F, 58/58 | ITA | Yes | No | No | Sister with PAM |
| c.226C>T† | 11 | F, 35/– | TUR | – | Yes, not specified (29) | No | |
| 12 (twin 1) | F, 5/5 | CAN | Yes | No | – | Middle-Eastern desc | |
| 13 (twin 2) | F, 5/5 | No | – | ||||
| 14 (sib 1) | M, 11/11 | TUR | – | No | – | ||
| 15 (sib 2) | F, 4/4 | – | – | – | |||
| 16 (sib 3) | F, 4/4 | – | – | – | |||
| c.316G>C† | 17 | F, 27/3.5 | TUR | No | Fatigue, cough, and exertional dyspnoea as child (~ 2.5). Normal physical findings and exercise capacity at age 27 | No | |
| 18 | F, 43/43 | TUR | – | Exertional dyspnoea, cough (−) | – | Suspicious familial history of PAM | |
| c.316G>A‡ + c.1238G>A‡ | 19 | F, 39/22 | USA | Yes | Dyspnoea, chest pain (−) | No | |
| c.380-345_c.523+659del† | 20 (sib 1) | F, 40/40 | CHI | Yes | Progressive dyspnoea (37) | No | |
| 21 (sib 2) | F, (adult)§/ – | No | – | ||||
| c.448G>A + c.524-1G>C | 22 | M, 8/ – | CHI | No | No | – | |
| c.524-18_559del† | 23 | M, 1/1 | UGA | Yes | Progressive dyspnoea developing to severe respiratory distress and hypoxaemia (2 mos.) | – | Adopted |
| 24 | F, 16/16 | EAF | – | Recurrent dizziness, occasional cough upon physical stress and epigastric pain (−) | – | ||
| c.560G>A† | 25 | F, 9/5 | SPA | Yes | No | – | |
| c.575C>A† | 26 (sib 1) | M, 53/– | CHI | Yes | No | No | PH |
| 27 (sib 2) | M, 40/– | No | No | ||||
| 28 (sib 3) | F, 49/– | Dyspnoea, irritable cough (−) | No | ||||
| c.593 T>C† | 29 (sib 1) | M, 41/41 | LIB | – | No | No | |
| 30 (sib 2) | M, 23/23 | No | – | ||||
| 31 (sib 3) | M, 23/23 | No | – | ||||
| c.646G>T† | 32 | F, –/66 | ITA | – | Dyspnoea, cough, asthenia (−) | No | PH, PAM in relatives |
| c.857_871delins19† | 33 | F, – | JAP | Yesl | – | – | PAM in family members |
| 34 | F, 43/10 | JAP | – | Dyspnoea, anorexia (−) | – | Deceased | |
| c.893_897delTTGTC† | 35 | M, 38 | ISR | – | Exertional dyspnoea, cough, haemoptysis (35) | Yes | |
| c.906G>A† | 36 | F, 40/34 | FRA | No | Dyspnoea (−) | No | Moroccan desc., siblings with PAM |
| c.910A>T† | 37 (sib 1) | –, – | CHI | – | – | – | |
| 38 (sib 2) | –, – | – | – | ||||
| 39 | M, > 55/25 | CHI | Yes | Exertional dyspnoea, cough (33) | No | Sisters with PAM | |
| 40 | F, 42/20 | CHI | No | Exertional dyspnoea (in her 40s) | No | ||
| 41 (sib 1) | F, 52/– | CHI | Yes | Both sisters had recurrent cough, progressive dyspnoea (−) | No | ||
| 42 (sib 2) | F, 39/– | No | |||||
| c.910A>T‡ + c.1363T>C‡ | 43 | M, 43/43 | CHI | No | Dyspnoea, chest tightness (42) | Yes | PH |
| c.1048+1G>A† | 44 (sib 1) | F, – | JAP | Yes | – | – | Deceased |
| 45 (sib 2) | F, – (adult) | – | – | ||||
| 46 | M, - | JAP | Yes | – | – | PAM in family members | |
| 47 | F, – | JAP | – | – | – | Deceased, PAM in family members | |
| c.1048+1G>A‡ + c.1390G>C‡ | 48 | F, 28/27 | JAP | No | No | – | |
| c.1136G>A† | 49 | M, 54/46 | ITA | No | No | No | |
| c.1238G>A† | 50 | F, 37/– | USA | Yes | Dyspnoea, cough (−) | – | |
| c.1327delC† | 51 (sib 1) | F, 47/20 | NOR | No | Dyspnoea, chest pain, asthenia (−) | ES | PH, deceased |
| 52 (sib 2) | F, 52/23 | Dyspnoea, cough, chest pain, asthenia (−) | ES | ||||
| c.1328delT† | 53 | M, 24/– | TUR | – | Yes, not specified (21) | No | Deceased |
| 54 | F, 27/27 | MOR | Yes | Exertional dyspnoea, cough (22) | – | ||
| c.1333+1G>A† | 55 | M, 58/19 | USA | – | Dyspnoea, cough (−) | ES | PH |
| c.1342delG† | 56 | M, 39/– | TUR | – | Yes, not specified (26) | No | |
| c.1342_1361del† | 57** | –, – | – | – | – | – | |
| 58 | M, 9/1 | MOR | – | Acute respiratory episodes, decreased chest expansion, exercise-induced dyspnoea, chest pain (4 mos.) | – | Adopted | |
| c.1390G>C† | 59 (sib 1) | F, 14/5 | SPA | No | Both siblings had pneumonias and broncho-obstructive crises until age 4 yrs., asymptomatic hereafter | – | |
| 60 (sib 2) | M, 9/9 mos | – | |||||
| c.1402_1404delACC† | 61 | M, 32/16 | DEN | – | Dyspnoea, cough, chest pain, asthenia (−) | Yes | |
| 62 | M, 62/50 | DEN | No | Dyspnoea, asthenia (−) | Yes | ||
| 63 | F, 69/51 | USA | – | Dyspnoea, cough, asthenia (−) | ES | PH, Italian desc | |
| c.1456C>T† | 64 | F, 12/12 | TUR | Yes | No | – | Sister with PAM |
| c.1493G>T | 65 (sib 1) | M, 23/23 | BAR | No | Fever and productive cough of 2-day duration (23) | No | |
| 66 (sib 2) | F, 18/18 | No | – | ||||
| c.1653_1660del | 67 | F, 45/45 | UK | Yes | Dry cough (−) | – | |
| Whole gene deletion† | 68 | F, 20 | MOR | Yes | Exertional dyspnoea (−) | No |
SLC34A2变异患者的人口统计学和临床数据
总体而言,已报告的SLC34A2变异患者具有 肺泡微石症 (PAM) 的典型特征,例如年龄、症状和临床表现的多变性,尽管许多报告缺少详细的临床数据。表2总结了患者的人口统计学、症状和吸烟状况。已报告的变异患者来自世界各地,大多数为成年人(图 7)。年龄跨度为 9 个月至 69 岁,女性略多。63% 的家族中变异的存在是近亲结婚的结果。这可能是低估,因为大约 40% 的家族中没有关于近亲关系的信息。
图 6.

22 名患者在诊断时还是儿童,他们通常是在家庭环境中或偶然被诊断出来的,诊断几乎完全基于 BAL 或活检。约一半的儿童(9/19)没有症状,肺功能正常(60% (9/15))。所有儿童都报告有放射学异常,但只有大约一半的报告描述了钙化。在包含年龄信息的报告中,68% (26/38) 的成年人有症状。几乎 90% (22/25) 的成年人肺功能异常。所有报告的放射学发现都是 肺泡微石症 (PAM) 的典型表现,约 20% (7/32) 的诊断仅基于放射学发现。
基因型-表型相关性
佳学基因进一步研究了肺泡微石症 (PAM) 在基因型-表型相关性。探索人类SLC34A2变异影响的功能研究很少,而且没有标准化的临床分类标准。在佳学基因最近包括 14 名 肺泡微石症 (PAM) 患者的报告中,发现疾病与变异严重程度之间存在关联。尽管发现了关联,但我们仍强调正确分类疾病和变异的挑战,以及需要在大量患者中确认。目前仅发表了少数描述复发性变异患者和家族的病例报告(表1)。通常,很难比较病例报告中的临床数据,因为描述不标准化。此外,患者的年龄差异很大,无症状的儿童和年轻人可能在以后的生活中出现症状,这使得这些患者的表型评估变得复杂。尽管数据稀缺,但吸烟可能与更严重的疾病有关。
SLC34A2变体的功能研究
在六名日本患者中发现的两种SLC34A2变异(c.1048 + 1G>A (p.?) 和 c.857_871delins19 (p.Ile286LysfsTer29))被发现在Xenopus laevis卵母细胞中表达时,会在钠存在的情况下损害磷酸盐的转运。最近,我们的小组研究了之前在 肺泡微石症 (PAM) 患者中报道的四种SLC34A2变异(c.910A>T (p.Lys304Ter)、c.1328delT (p.Leu443ArgfsTer6)、c.1402_1404delACC (p.Thr468del) 和 c.1456C>T (p.Gln486Ter))。NaPi-2b 突变体构建体在Xenopus laevis卵母细胞中表达,并通过32 Pi 摄取试验研究了转运功能。发现突变体无功能。有趣的是,之前对在非洲爪蟾卵母细胞中表达的大鼠和人类 NaPi-2a 的两项研究包括与 c.1390G>C(p.Gly464Arg)和 c.1402_1404delACC(p.Thr468del)相同氨基酸位置的突变体,后来在 肺泡微石症 (PAM) 患者中有所描述。使用取代半胱氨酸可及性方法 (SCAM) 或丙氨酸取代进行半胱氨酸氨基酸取代,发现了无功能突变体,除非将人类 NaPi-2b 中对应于 Thr467 的苏氨酸替换为半胱氨酸。此外,在一个中国家族中发现的变异 c.575C>A (p.Thr192Lys) 在人类肺泡上皮细胞 (A549 细胞) 中进行了研究,结果显示与正常对照相比,磷酸盐转运功能降低的迹象。总体而言,这些报告中的数据支持 肺泡微石症 (PAM) 中 NaPi-2b 的潜在功能障碍。
PAM中的动物模型
已经开发出几种条件性Slc34a2敲除 (KO) 模型,并为失去活性 Na + 依赖性磷酸盐转运的可能补偿机制提供了重要信息。一项使用肺上皮条件性 Slc34a2 KO 小鼠模型的研究表明,该小鼠呈现 肺泡微石症 (PAM) 表型,并伴有进行性肺部放射学表现,包括微石积聚、炎症和纤维化。Slc34a2 KO小鼠没有表现出其他钠磷酸盐共转运蛋白的明显补偿性上调。然而,在低磷饮食的 Slc34a2 KO 小鼠的肺泡 II 型细胞中发现钠依赖性磷酸盐转运蛋白 Pit-1 (Slc20a1) 的表达略有增加。也有证据表明,在限制磷酸盐饮食期间,小鼠的微石负担有所减少。当测量钙、磷酸盐、总蛋白、SP-D 和饱和磷脂酰胆碱(肺表面活性剂的主要成分)的水平时,与正常小鼠相比, Slc34a2 KO 小鼠的 BAL 液中的所有参数均增加。此外,与对照小鼠相比,NaPi-2b 缺陷小鼠的血清 SP-D 和炎症介导细胞因子 MCP-1(单核细胞趋化蛋白 1)更高,并且随着微石沉积的进展而增加。将Slc34a2 KO 小鼠的微石滴入正常小鼠肺部一个月后,微钙化完全清除,没有任何炎症或纤维化的迹象。这些小鼠的血清 MCP-1 水平在该时间段结束时达到基线,表明 MCP-1 是疾病负担的潜在生物标志物。根据本研究的数据,作者得出结论,对肺部 NaPi-IIb 表达进行基因编辑可能是未来治疗 肺泡微石症 (PAM) 的一种有前途的治疗策略。
目前对 肺泡微石症 (PAM) 理解的差距
SLC34A2作为PAM致病基因的发现使我们对这种异质性疾病的认识更近了一步,尽管其病理生理机制尚不清楚。
需要进一步研究,包括研究细胞和动物模型中SLC34A2的致病变异,以探索该疾病的基本机制。有必要研究潜在因素,包括可能的补偿机制,例如肺泡 II 型细胞中其他转运蛋白介导磷酸盐,并应探索环境因素的可能参与。此外,应进一步评估少数没有SLC34A2变异的患者,以确定其他遗传原因。
除肺移植外,目前尚无治愈或有效治疗 肺泡微石症 (PAM) 的方法。无论是针对 肺泡微石症 (PAM) 患者的变异特异性治疗(例如全身或局部给药,以增加肺部 NaPi-2b 的数量和功能),还是通过基因添加或基于成簇规律间隔短回文重复序列 (CRISPR) 的基因编辑进行的基因治疗,均尚未进行测试。对于病情未达到晚期的患者,基因治疗可能治愈患者,因为预计该疗法将在受体细胞的整个生命周期内持续存在。您可以推测,疾病负担较重的患者可能无法从基因治疗中获得同等程度的益处。无论如何,需要详细了解 肺泡微石症 (PAM) 患者中发现的不同变异的分子后果,才能基于这些技术成功治疗。
为了能够制定分子分类,应该对更多患者进行基因检测,并评估变异谱以获得不同的功能和分布模式。探索和描述患者的变异并将这些发现与患者的仔细临床特征进行比较至关重要。建议在病例报告中对患者数据进行系统详细描述,除了症状和临床发现外,还应包括病程、病史、肺外钙化的存在、家族史、血亲关系、吸烟状况和其他可能的诱因。确实希望有一个经过验证的疾病严重程度分类,这将有助于评估疾病负担、对患者进行分层和开展研究。临床研究也将受益于包含匿名临床、遗传和人口统计数据的国际 肺泡微石症 (PAM) 数据库。
遗传咨询
建议对 肺泡微石症 (PAM) 患者进行遗传咨询。这将为患者及其家人提供有用的信息,包括对其他家庭成员进行基因检测的可能性,以及如果相关的话,进行产前/植入前基因诊断的可能性。在有遗传学证据证明患有 肺泡微石症 (PAM) 的大家族中,其他相关夫妇和家庭成员可以从遗传咨询中受益。虽然目前除了肺移植外没有治愈方法或有效治疗方法,但在儿童或青少年时期诊断可以进行早期家庭教育和遗传咨询。此外,可以更早地开始更密集的支持性护理,例如接种肺炎球菌和流感疫苗,并规划未来的移植。
结论
肺泡微石症 (PAM) 是一种由佳学基因检测进行检测与分析遗传性肺病,临床病程各不相同。肺泡微石症 (PAM) 的遗传学,包括可能的基因型-表型关联,仍有待探索。几乎所有接受基因评估的患者都发现了SLC34A2的变异。到目前为止,至少有 68 名患者报告了 34 种等位基因变异,大多数变异仅在一名患者中描述。血亲关系的发生率很高。我们建议对所有新病例进行彻底的系统临床描述和基因调查。临床分级系统将很有用,需要对变异进行临床研究以及功能和实验研究,以探索未来的治疗策略。最后,由于SLC34A2变异患者的比例似乎非常高,因此在某些情况下,基因表征可能是侵入性检查的首选诊断工具,尤其是在儿童诊断中。
(如果您已经做了基因检测,想获取与基因检测型相对应的治疗方案,请点击此处上传您的基因检测结果)
(责任编辑:佳学基因)