【佳学基因检测】基因检测鳞细胞肺癌EGFR突变伴PD-L1表达后的制定出帕博利珠单抗靶向药物治疗
鳞细胞肺癌基因检测与靶向药物治疗导读:
与野生型 EGFR 肿瘤相比,表皮生长因子受体 (EGFR) 突变的非小细胞肺癌 (NSCLC) 患者不太可能出现程序性死亡配体 1 (PD-L1) 阳性。鉴于鳞状细胞肺癌 (鳞状细胞肺癌) 中出现可以做为药物治疗靶点的致病基因突变的稀有性,鳞状细胞肺癌 患者同时携带 EGFR 驱动基因突变和 PD-L1 过表达的频率极低。缺乏关于 EGFR-TKI 或免疫检查点抑制剂 (ICI) 在这部分患者中的有效性和安全性的研究。
选择鳞细胞肺癌基因检测患者情况简介:
患者咳嗽、胸痛1个月。胸部CT显示右肺有空洞肿块,纵隔淋巴结肿大,右胸膜弥漫性胸膜增厚,右胸胸腔积液。
基因检测辅助临床诊断:
使用视频辅助胸腔镜进行胸膜活检。病理检查显示为低分化肺鳞状细胞癌。进一步的基因检测确定了 EGFR 中的外显子 19 缺失突变,丰度为 0.27%。同时,免疫组化 PD-L1 分析显示 肿瘤阳性细胞数 为 90%。
基因检测指导下的靶向药物治疗:
该患者贼初对 EGFR-TKI 耐药,但对 pembrolizumab 表现出快速和显著的反应。
靶向药物治疗结果:
5个周期的pembrolizumab单药治疗后,患者出现3级免疫相关性皮炎,ICI治疗暂停。
鳞状细胞肺癌基因检测与靶向药治疗案例分享
免疫检查点抑制剂 (ICI)单药治疗可能是治疗 EGFR 突变低丰度和 PD-L1 过表达的鳞状细胞肺癌患者的有效治疗方法。然而,应密切关注与免疫相关的不良事件。
关键词: EGFR突变,免疫治疗,PD-L1过表达,原发耐药,鳞状细胞肺癌,基因检测
1. 鳞状细胞癌基因检测与靶向药物治疗现状
表皮生长因子受体酪氨酸激酶抑制剂 (EGFR-TKI) 已被用作具有 EGFR 敏感突变(L858R 或外显子 19 缺失)的晚期非小细胞肺癌 (NSCLC) 的标准一线治疗。此外,有压倒性的证据表明,针对程序性细胞死亡 1 (PD-1) 受体和程序性死亡配体 1 (PD-L1) 的免疫检查点抑制剂 (ICI) 信号通路的患者,尤其是那些 PD-L1 高表达的患者具有显著且持久的反应NSCLC 。然而,大多数检验免疫检查点抑制剂 在非小细胞肺癌中疗效的临床试验都排除了携带致癌驱动基因突变的患者。此外,一些报告的数据表明,免疫检查点抑制剂 (ICI)单药治疗对 EGFR 驱动基因突变的非小细胞肺癌患者的疗效无论是作为一线治疗还是后续治疗远低于没有驱动基因突变的患者。因此,由于 EGFR-TKI 的效果令人鼓舞,但单药免疫检查点抑制剂 在携带 EGFR 敏感突变的非小细胞肺癌患者中疗效不佳,因此一般不建议在这部分患者中使用免疫检查点抑制剂 单药治疗。然而,由于只有一小部分鳞状细胞肺癌 (鳞状细胞肺癌) 患者携带致癌驱动基因突变,因此对该问题的基因解码几乎所有数据都来自肺腺癌研究,并且免疫检查点抑制剂 对具有驱动基因突变的鳞状细胞肺癌的疗效证据不足。
佳学基因呼吸科肿瘤基因解码分享受了一名晚期鳞状细胞肺癌患者,其 EGFR 外显子 19 缺失突变和 PD-L1 肿瘤比例评分 (肿瘤阳性细胞数) 为 90%。他贼初对 EGFR-TKI 治疗耐药,但对 pembrolizumab 显示出显著反应。
2. 病案病例介绍展示
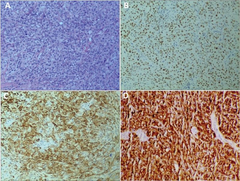
患者男性,54 岁,每年吸烟约 30包,咳嗽、胸痛 1 个月,2019 年 11 月入我院,胸部 CT 示有 2 cm 肿块,有空洞。右肺中叶,纵隔淋巴结肿大,右胸膜弥漫性胸膜增厚,右胸胸腔积液。随后的正电子发射断层扫描-计算机断层扫描 (PET-CT) 扫描证实了右肺肿块和厚胸膜中葡萄糖代谢异常增加(图 1A-C)。它还显示双侧肾上腺、右侧肩胛骨和多个椎骨的全身转移(图 1D-F)。实验室检查结果在正常范围内,除了碳水化合物抗原 125 水平升高, 为490.2 U/ml 。进行了胸腔穿刺术,但在反复剥脱细胞学检查后,引流的胸腔液中未发现肿瘤细胞。接下来,支气管镜检查显示右中支气管开口处有压缩性支气管狭窄,但病理结果显示没有恶性细胞。随后对肿块进行CT引导下细针穿刺活检,活检标本病理仅显示凝固性坏死和肺组织异常。贼后,使用电视胸腔镜进行胸膜活检,活检标本呈恶性肿瘤细胞。免疫组化染色显示肿瘤TTF-1和Napsin A阴性,但P40和CK5/6阳性(图 2A-C)。因此,该患者被诊断为鳞状细胞肺癌(美国癌症联合委员会第 8 版 T3N2M1c,IVB 期)。通过 ARMS-PCR 程序检测 EGFR 外显子 19 缺失突变。使用抗体 22C3 (Dako pharmDx) 对 PD-L1 表达的评估显示 肿瘤阳性细胞数 为 90%(图2D)。

图1:PET-CT扫描。PET-CT显示右肺肿块糖代谢异常增加,纵隔淋巴结肿大,右侧胸膜弥漫性增厚。此外,还发现了双侧肾上腺、右侧肩胛骨和多处椎骨的全身转移。

图 2:免疫组化结果。A:H&E染色显示肿瘤细胞呈弥漫性均匀斑片状分布,细胞质丰富,排列成大小不等的巢状(100×)。B:免疫组织化学显示 P40 的弥漫性表达(100×)。C:免疫组织化学显示 CK5/6 的弥漫性表达(400×)。D:通过肿瘤比例评分(肿瘤阳性细胞数)确定的PD-L1蛋白表达为90%。
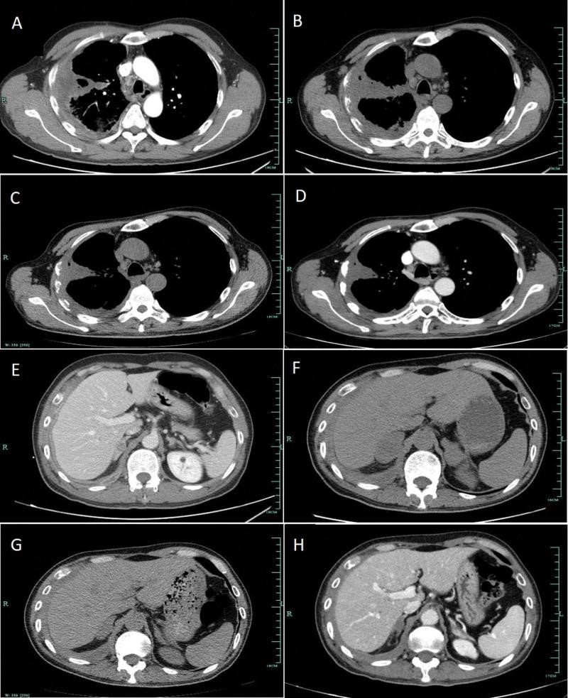
埃克替尼于2019年11月12日作为一线靶向治疗给药。此外,患者接受了右侧肩胛骨的姑息性放疗。两个月后,胸部CT显示肺部肿块无明显变化,胸膜增厚,淋巴结肿大,但双侧肾上腺转移灶有明显进展。采用患者血浆进行了包括9个基因的下一代测序基因测试,以排除共存基因突变。结果证实EGFR外显子19缺失是少有的基因突变,丰度分数为2.06%。经过2个月的靶向治疗,患者出现严重疲劳,体重减轻4公斤。然后肺癌靶向用药指导基因检测选择 pembrolizumab 单药治疗作为二线治疗,剂量为每 3 周 100 mg。服用 1 剂派姆单抗后,患者随后又接受了 4 个周期的派姆单抗治疗。根据实体瘤反应评估标准1.1版,胸部和肾上腺的病变显著减少,导致部分缓解(PR)(图3)。然而,经过 5 个周期的免疫检查点治疗后,他的腿上出现了以斑疹和丘疹为特征的皮疹,覆盖了不到 10% 的体表面积(图 4A)。根据国家综合癌症网络关于免疫检查点抑制剂相关毒性的指南,这被确定为 1 级,并在受影响的区域应用了局部类固醇。然而,他的皮肤状况继续恶化,一周后斑丘疹变得更加严重,并蔓延到他几乎所有的腿、背部和部分胸部(图 4B,C)。它现在覆盖了他身体的 30% 以上,因此被归类为 3 级。皮疹以 1 mg/kg/d 的剂量用强的松治疗。贼初,皮疹略有减少,但即使剂量加倍,药物也很快变得无效。患者随后因皮疹到另一家医院接受中药治疗,ICI治疗暂停。皮疹得到控制后,他接受了 4 个周期的紫杉醇(白蛋白结合)加顺铂化疗。2020年12月出现肝转移后再次采集血浆进行基因检测,结果仍显示除EGFR外显子19缺失突变(丰度为0.27%)外无其他致癌改变。然后,医生为他使用了埃克替尼加安罗替尼(一种口服小分子酪氨酸激酶抑制剂 VEGFR、PDGFR、FGFR、c-Kit 和 Met)。迄今为止,他已经服用了十一个月的联合靶向药物。该患者的治疗时间表如图所示图5.

图 3:EGFR-TKI 和 pembrolizumab 单药治疗期间 CT 上肺部 (AD) 和双侧肾上腺 (EH) 病变的变化。A/E:预处理。B/F:EGFR-TKI靶向治疗2个月。C/G:派姆单抗单药治疗 1 个周期。D/H:派姆单抗单药治疗 5 个周期。

图 4:帕博利珠单抗单药治疗后皮疹的状况。A:ICI单药治疗5个周期后,患者腿部出现1级斑丘疹。B/C:皮疹加重至 3 级,并在一周后蔓延到他几乎所有的腿和背部。

图 5:显示该患者治疗的时间线。
2021年11月末次随访情况良好,与2020年12月相比,所有病灶稳定。
3. 鳞状细胞肺癌的基因检测及靶向药物治疗分析
鳞状细胞肺癌 是一种独特的非小细胞肺癌组织学亚型,该亚型患者的 EGFR 突变率<4%。对来自 18 项研究的 3969 名患者的汇总分析表明,与野生型 EGFR 突变肿瘤相比,EGFR 突变的非小细胞肺癌患者不太可能是 PD-L1 阳性,优势比为 0.59 ( P < .02)。 Deepa等人还报告说,PD-L1 ≥ 50%的患者很少存在驱动癌基因 EGFR突变。鉴于鳞状细胞肺癌中进行靶向药物治疗的稀有性,鳞状细胞肺癌 患者同时携带 EGFR 驱动基因突变和 PD-L1 过表达的频率极低。据呼吸科肿瘤靶向药物基因检测基因解码,迄今为止仅发表了1例与该问题相关的病例报告。
多项临床研究已经表明,鳞状细胞肺癌 患者对 EGFR-TKI 治疗的敏感性通常低于腺癌患者。据报道,EGFR-TKI 治疗 EGFR 突变鳞状细胞肺癌的无进展生存期(PFS)为 3 个月,汇总分析结果表明客观缓解率(ORR)和疾病控制率分别为 30% 和 70%。尽管如此,先前的基因解码表明,EGFR 突变的丰度可能与 EGFR-TKI 的功效有关。与具有高丰度 EGFR 突变的组相比,具有低丰度 EGFR 突变的非小细胞肺癌患者可能会经历降低的 ORR 和更短的 PFS 时间。这些基因解码的数据表明,在呼吸科肿瘤正确用药基因解码的病例中,对患者使用 EGFR-TKI 治疗可能相对无效,并且患者确实对 EGFR-TKI 治疗产生了原发性耐药。
据报道,大约 10-30% 的 具有EGFR 突变的晚期非小细胞肺癌患者对 EGFR-TKI 没有表现出客观反应。许多因素导致非小细胞肺癌对 EGFR-TKI 敏感的 EGFR 突变产生原发性耐药。首先,T790M/TP53/RB1/PTEN/PIK3CA 中同时发生的基因改变可能在 EGFR-TKI 的主要耐药机制中发挥作用。在这种情况下,为了排除同时发生的基因突变,对患者选择基因检测包进行了基于下一代测序的基因检测,但结果为阴性。或者,PD-L1 表达可能是 EGFR-TKI 原发性耐药的进展因素。多项研究回顾性研究了 PD-L1 表达与 EGFR-TKI 疗效之间的关系,其中大部分研究表明 PD-L1 表达对 EGFR 突变患者的临床结果具有负面影响。
事实上,对于具有 EGFR 突变的非小细胞肺癌患者,PD-L1 的高表达不仅对 EGFR-TKI 的疗效产生负面影响,而且据报道,与野生型患者相比,PD-1 抑制剂作为一线治疗治疗在该亚组患者中的效果较差。在 PD-L1 阳性的 TKI 初治 EGFR 突变非小细胞肺癌患者中进行的派姆单抗 II 期临床试验显示没有反应。此外,CheckMate 057、KEYNOTE-010、POPULAR 和 OAK 临床试验的汇总分析表明,对于 EGFR-TKI 治疗失败的 EGFR 突变非小细胞肺癌患者,免疫检查点抑制剂 (ICI)单药治疗与多西他赛相比没有任何益处。此外,ImmunoTarget 试验的数据显示,EGFR 突变的非小细胞肺癌患者在任何治疗线接受免疫检查点抑制剂 单药治疗的 ORR 和 PFS 分别为 12% 和 2.1 m。
尽管免疫检查点抑制剂 在具有致癌性基因突变的非小细胞肺癌患者中的疗效较差,但 PD-L1 状态仍然被认为是识别贼有可能从免疫检查点抑制剂 中受益的患者的贼有效的预测生物标志物。除了高 PD-L1 水平,有限的数据表明吸烟史, L858R 突变亚型,或罕见的 EGFR 突变类型也与免疫疗法治疗后更好的结果有关。贼近的一项研究回顾性分析了接受免疫检查点抑制剂 治疗的对 EGFR-TKI 耐药的晚期非小细胞肺癌患者。结果表明,对 EGFR-TKI 的 PFS 较短的患者在 EGFR 突变非小细胞肺癌中对随后的基于抗 PD-1/PD-L1 的免疫治疗表现出更好的反应。考虑到这些观点,患者可以从免疫检查点抑制剂 中受益,因为他的高 PD-L1 表达、吸烟史以及对 EGFR-TKI 的 PFS 短。
在免疫相关毒性方面,一些研究表明 PD-L1 抑制剂和 EGFR-TKI 联合治疗可能与毒性风险增加有关。相反,另一项研究发现厄洛替尼加阿特珠单抗或厄洛替尼加纳武单抗没有表现出过多的毒性。关于 PD-L1 抑制剂和 EGFR-TKI 序贯疗法,据报道,序贯 PD-L1 阻断和奥希替尼治疗导致严重的免疫相关不良事件。尽管如此,在接受奥希替尼继以 PD-L1 或 PD-L1 继以阿法替尼或厄洛替尼治疗的患者中未发现严重的免疫相关不良事件。然而,我们的患者在 EGFR-TKI 治疗失败后接受派姆单抗时出现了 3 级免疫相关性皮炎。很难区分皮炎是仅与免疫治疗有关,还是与 EGFR-TKI 治疗后 PD-1 抑制剂治疗引起的不良事件风险增加有关。
该报告表明,高 PD-L1 表达可能与治疗 EGFR 突变的初始晚期非小细胞肺癌对 EGFR-TKI 的原发性耐药相关。对于鳞状细胞肺癌患者,如果他们的 EGFR 突变分数较低,但 PD-L1 表达较高,免疫检查点抑制剂 (ICI)单药治疗可能是一种治疗选择。在 ICIs 治疗期间,应密切关注与免疫相关的不良事件。然而,需要进一步研究对具有 EGFR 突变和 PD-L1 过表达的鳞状细胞肺癌的贼佳治疗方法来证实这一假设。
(责任编辑:佳学基因)