【佳学基因检测】基因检测视网膜色素变性帮助诊断
如何知道自己的视网膜色素变性是会是什么情况?
遗传方式
视网膜色素变性(RP)包含一系列视网膜表型,其中一些可能表现出独特的临床特征。根据《眼科疾病基因检测项目列表》,视网膜色素变性可以采用不同的方式进行分类。对 视网膜色素变性(RP)患者进行分类的最常用方法是根据其孟德尔遗传方式。视网膜色素变性(RP)在家族、父母、父女、母女之间的遗传可表现岛国常染色体显性遗传(adRP;15% 到 25%佳学基因检测的患者是常染色体显性遗传)、常染色体隐性遗传(arRP;在佳学基因做检测的患者中有5% 至 20%是常染色体隐性遗传)或 X 连锁隐性遗传(XLRP;5% 至 15%经过检测的患者是X连锁伴性遗传) 。RP还存在其他遗传模式,尽管非常罕见,很多基因检测机构不将其做为分析判断的考虑情况,但是眼科致病基因鉴定基因解码发现并收录了X 连锁显性遗传、线粒体遗传和双基因遗传的病例 。如果受检者的家族中没有该病的家族史或者是没有明确分子诊断的患者,也被称为孤立病例或单纯病例。这些单纯病例被认为主要是常染色体隐性遗传,但也可能存在其他遗传形式。具体的遗传方式仍需要通过致病基因鉴定基因解码进行明确。
你的视网膜色素变性(RP)是非综合征型还是综合征型的呢?
在佳学基因所检测的疑似视网膜色素变性(RP)的患者中,有的还可表现有眼外症状,占所有病例的 20%–30%。与 视网膜色素变性(RP)症状同时出现的眼外症状是患者不仅出现眼睛症状,还有可能出现听力丧失。在这个情况下,选择的基因检测是跨系统的致病基因鉴定基因解码就更容易做出准确诊断。其中之一是Usher综合征。根据是否存在眼外特征,患者可分为“视网膜色素变性(RP)”或“视网膜色素变性(RP)”。此外,还有一部分视网膜色素变性(RP)患者结过跨系统致病基因鉴定基因解码被可进一步诊断“先天性代谢缺陷 (IEM)”或“纤毛病” ,从而更准确地进行治疗。
先天性代谢缺陷 (IEM)包括一大类遗传性疾病,这些疾病是由于代谢途径(如碳水化合物、蛋白质或糖原储存途径)中某种关键酶的功能丧失而引起的。先天性代谢缺陷 (IEM)易发于大脑,进而也会影响视网膜,因为它是中枢神经系统的一部分。例子包括成人 Refsum 病(RP、神经退行性病变、共济失调、听力丧失、嗅觉丧失和心脏/骨骼/皮肤受累)、Bassen–Kornzweig 综合征(RP、脂肪吸收不良、棘红细胞增多症、低血胆固醇、神经退行性病变)和 PHARC 综合征(多发性神经病、听力丧失、共济失调、视网膜色素变性(RP)和白内障)。
纤毛病是一组影响初级纤毛组装或功能的疾病。根据《眼科疾病的临床表型及其背后的基因原因》,纤毛是质膜的微管延伸,是几乎所有细胞类型的组成部分。因此,引起纤毛功能的基因序列变化、基因变体或者是突变,常常是多效性的,会影响多个系统。在这种情况下,进行多系统致病基因鉴定基因解码就更有可能全方位地揭示基因突变对身体多个系统的影响 。在视网膜中,光感受器外节的近端通过连接纤毛与其内节相连。纤毛病常常影响的其他器官包括内耳、肾脏、肝脏和中枢神经系统 。已知可表现为视网膜变性的纤毛病包括 Usher 综合征、Joubert 综合征(视网膜变性、智力障碍、多指畸形、共济失调)、Senior-Loken 综合征(视网膜变性和肾痨)和 Bardet-Biedl 综合征(RP、智力障碍、多指畸形、肥胖和性腺功能低下)等。
视网膜色素变性基因解码基因检测会提前揭示出什么样的疾病表现?
视网膜色素变性(RP)主要表现为视杆细胞的退化,随之而来的是视锥细胞的退化。每种光感受器在视觉形成中都有其特定作用,因此视网膜色素变性的临床症状通常会按特定的顺序出现。基因解码不仅能识别引发疾病的基因原因,还能预测受检者可能会经历的临床症状,从而帮助他们做好相应准备。初期,视杆细胞的丧失(视杆细胞主要负责昏暗光线下的视觉和周边视觉功能)会导致患者在黑暗或昏暗环境中出现视物困难或失明,这种现象被称为“夜盲”。其次,视网膜色素变性会导致周边视野逐渐丧失,但由于早期可能会有补偿机制,因此患者可能不容易察觉。当光感受器的退化持续扩展时,视野缺损也会逐渐扩大。视野收缩会随着时间的推移而加重,最终可能只剩下一小块中央视野(伴有或不伴有周边残余视野),这种情况在晚期阶段被称为“管状视野”(如图2所示)。视野的丧失严重影响患者的活动能力,因为他们需要依赖中央和周边视觉信息来进行有效的感知。

图 2:使用动态视野检查法对视网膜色素变性患者的视野变化的典型过程进行进行说明。在疾病的早期阶段(I),视野可能在正常范围内,尽管视野缺损可能已经存在,但在所使用的目标刺激内无法检测到。随着时间的推移,视野会收缩,缺损通常是对称的,向外扩展得更快,向内扩展得更慢(II、III)。最终,在终末期视网膜色素变性中可能会残留一小部分中央视野,这种现象通常被称为“管状视野”(IV)。请注意,视野丧失的临床病程因人而异,并且可能遵循与此图不同的进展模式。
视锥细胞密集地分布在黄斑中,负责视觉敏锐度和色觉。专门针对视杆细胞而非视锥细胞的基因变异(例如,影响视杆特异性蛋白视紫红质的RHO基因疾病相关变异)仍可导致视锥细胞死亡。在这些特定情况下,视锥细胞退化是如何发生的机制是基因解码可以解决,而非数据库比基因检测可以解决的。眼科致病基因鉴定基因解码提出了几种关于视锥细胞继发性退化的机制,包括缺乏营养因子(如视杆衍生的视锥细胞活力因子)、营养不足、氧化应激和小胶质细胞活化,这些都是在视杆细胞凋亡后引起的。一旦黄斑中的视锥细胞数量不足,视锥细胞的丧失就会导致中央视力逐渐丧失。根据世界卫生组织制定的标准,这一过程最终可能导致严重的视力障碍甚至功能性失明。值得注意的是,大多数晚期视网膜色素变性(RP)患者可能仍会保留一定程度的残余视力,完全失明(即没有光感)并不常见。先前的基因解码表明,7%-8% 的全身性视网膜色素变性(RP)患者在 40 或 50 岁时会出现能数手指或更糟的视力,而不到 1% 的 视网膜色素变性(RP)患者会发展为没有光感 。除了中央视力丧失之外,患者还可能失去色觉,并且对光的敏感性可能会增加(即畏光)。闪光幻觉(即在没有光线进入眼睛时看到闪光或静态噪声)在 视网膜色素变性(RP)中很常见,可能是由于传入神经冲动或来自内层视网膜的自发信号减少所致。
视网膜色素变性基因检测发何预测疾病的发生并进行干预?
视网膜色素变性(RP)症状的发作、严重程度和进展具有很大的可变性,即使在同一家族中的患病个体中也是如此。 (表观)遗传和可能的环境修饰因素被认为会导致表型变异,这使得基于数据库比对的方法难以建立起基因型-表型的相关性。尽管可以根据遗传方式和潜在的基因缺陷以及先前的临床病程信息粗略估计疾病进展,但仍然很难对 视网膜色素变性(RP)作为一组疾病进行视力预后。在常染色体隐性遗传视网膜色素变性(RP)或 XL视网膜色素变性(RP)患者中通常会观察到更严重的表型、早发病和视觉功能的快速下降,因为这些变异通常会导致视觉通路中一种关键蛋白质的功能丧失 。高度近视(屈光不正为 -6 屈光度或以上)者疾病的进展可能更快,例如RPGR相关的 X 连锁 视网膜色素变性(RP)。相比之下,与常染色体隐性遗传视网膜色素变性(RP)或 XL视网膜色素变性(RP)相比,患有常染色体显性视网膜色素变性的患者( adRP)(例如由于RHO突变)的患者大多表现出相对轻微的疾病过程,并且他们甚至可能直到 80 岁仍保留相当大的中央和周边视觉功能。视网膜色素变性(RP)的疾病过程在与 视网膜色素变性(RP)相关的最普遍的基因(例如RHO和RPGR)中得到最深入的了解,因为已经对这些基因进行了更广泛的回顾性和前瞻性研究;因此,可以更准确地评估它们的视力预后。
如何对疑似视网膜色素变性(RP)的患者进行诊断测试
视网膜色素变性(RP)的治疗首先要通过广泛的临床和基因检测确诊。视网膜色素变性(RP)的早期诊断可以实现并发症的早期预防和管理、疾病监测和遗传咨询(例如计划生育)。临床检查(包括视觉功能评估)为视觉康复服务提供相关信息,并帮助受影响的个人对其职业生涯做出明智的选择。基因检测对于视力预后、计划生育以及在可能的情况下纳入临床试验和基因治疗非常重要。在本章中,我们讨论了用于诊断 视网膜色素变性(RP)的临床和基因检测方法的原理。
如何对疑似视网膜色素变性(RP)的患者进行临床试验与评估?
对疑似 视网膜色素变性(RP)患者的临床评估包括全面的眼科检查,包括最佳矫正视力 (BCVA)、眼压、裂隙灯、眼底、视野、视网膜成像和电生理评估。
疑似视网膜色素变性(RP)的患者如何进行眼底检查?
视网膜色素变性(RP)在眼底检查中具有一些典型的临床特征,包括视神经乳头苍白、视网膜血管变细以及视网膜内色素沉着。虽然视网膜内的色素沉着通常呈骨针状,但也可能出现其他形态,如钱币状、盐和胡椒状或颗粒状色素沉积。此外,还有一种无色素形式的RP,称为“无色素视网膜色素变性(RP)”,与典型的骨针状色素沉积不同。这些视网膜变化通常是双侧且对称的,但基因检测也发现了单侧视网膜色素变性的病例。在眼底检查中,还可能发现一些不太常见的异常情况,如视神经玻璃膜疣、黄斑水肿(CME)、视网膜前膜形成以及Coats样疾病。Coats样疾病是一种外周渗出性血管病,特征为毛细血管扩张、局部浆液性视网膜脱离和脂质沉积。上述眼底异常的出现及其具体表现因个体而异,甚至可能以非典型形式出现。区段视网膜色素变性(RP)被认为是一种轻微且非典型的RP形式,在常染色体显性视网膜色素变性(adRP)患者中较为常见。区段视网膜色素变性(RP)主要影响视网膜的下鼻半球,导致相应的上部视野缺损。随着时间推移,这种形式的RP可能会发展成类似于经典视网膜色素变性的广泛性疾病,但并非所有区段视网膜色素变性(RP)患者都会出现这种进展。
如何对视网膜色素变性进行鉴别诊断?
需要完整的病史、对其他身体系统的认真分析,有时还需要实验室检查,以区分 视网膜色素变性(RP)和可能伪装成 视网膜色素变性(RP)的其他疾病。视网膜色素变性(RP)的鉴别诊断范围很广,包括感染性(如梅毒或先天性风疹)、药物性(如氯喹或硫利达嗪)、医源性(如激光光凝)、代谢性(如高鸟氨酸血症引起的回状萎缩)和营养性病因(如维生素 A 和锌缺乏),以及一系列非 视网膜色素变性(RP)遗传性视网膜营养不良症(如无脉络膜、先天性静止性夜盲症和 Oguchi 病)。此外,还需要排除多种可能出现与 视网膜色素变性(RP)相似眼底表现的代谢疾病,包括无β脂蛋白血症(Bassen-Kornzweig 病)、维生素 E 缺乏症伴共济失调以及成人 Refsum 病等。与视网膜色素变性(RP)的区分至关重要,因为某些代谢疾病的病情进展是可以进行针对情治疗的。例如,对于无β脂蛋白血症和维生素 E 缺乏症伴共济失调,可通过特定的维生素补充剂减缓病情进展,而对于成人 Refsum 病,可通过限制富含植烷酸的食物的摄入来减缓病情进展。如果诊断延迟,会造成治疗延迟,可能会给患有这些疾病的患者带来严重且不可逆转的后果。当遗传咨询师询问是否只对视网膜色素变性进行基因检测时,不要因为要节省钱而只做针对视网膜色素变性的基因检测。排除或发现其他非视网膜色素变性的基因突变可以更快地进行治疗,这不是少量的基因检测费用所能比拟的。
为什么要对疑似视网膜色素变性的患者在基因检测前进行电生理测试?
电生理检查在视网膜色素变性(RP)的诊断和随访以及 视网膜色素变性(RP)与其他诊断的区别中起着重要作用。根据《如何准确进行眼科疾病的诊断?》,在所有电生理诊断方法中,全视野视网膜电图 (ffERG) 是诊断视网膜色素变性(RP)最常用的技术,该技术遵循国际视觉临床电生理学会 (ISCEV) 制定的指导方针。简而言之,ffERG 评估视网膜对光刺激的反应功能。暗适应眼中的暗白色单次闪光(即暗视测试条件)会引起视杆反应,而明适应眼中的闪烁白光 (30 Hz) 会引起视锥反应。当 ffERG 中可以检测到 视网膜色素变性(RP)时,即视网膜受到足够影响时,暗视反应显示 a 波和 b 波的幅度均显着降低,这主要分别来自感光细胞和双极细胞(图 3:视网膜色素变性(RP)是一种由视网膜色素变性(RP)引起的视力丧失或视力丧失的疾病。最终,在疾病终末期,暗视和明视反应都会完全消失,无法记录。测量视网膜功能的其他诊断工具包括多焦 ERG(mfERG),用于评估黄斑功能,以及暗适应测量,用于测量光感受器漂白后光感受器保持最大灵敏度所需的时间 。这些其他电生理测试工具在 视网膜色素变性(RP)的初始诊断中起的作用较小,有时用于补充 ffERG /临床发现并排除其他潜在诊断。

图 3:健康患者和不同阶段视网膜色素变性患者的全视野视网膜电图记录示例。根据国际视觉临床电生理学会 (ISCEV) 的指导方针,使用不同的刺激来确诊视网膜色素变性。在疾病晚期患者中,视杆细胞驱动反应严重减弱甚至消失,而残留的视锥细胞驱动反应可能仍然存在。
为什么要对疑似视网膜色素变性的患者进行视野测试?
由于晚期视网膜色素变性(RP)患者的 ffERG 反应最终无法记录,因此 ffERG 对监测病情进展无用。相反,动态视野和多模态成像技术可用于进一步监测病情进展,因为即使在疾病晚期也可以使用它们。
视野测试是视网膜色素变性(RP)功能评估的关键。在疾病早期进行视野测试时,可显示进行性中周边视野丧失。随着时间的推移,中周边环状暗点会形成,并且通常向周边扩展的速度比向中心扩展的速度更快。Goldmann 视野检查通常被认为是检测视网膜色素变性(RP)视野进展的标准。在 Goldmann 视野检查中,光刺激物向外呈现,并由操作者缓慢向内移动,直到患者能够看到刺激物。然后使用不同的刺激物重复此过程多次,以绘制患者视野范围。Goldmann 动态视野检查的局限性包括视力低下/注视不稳定患者的差异性很大,以及操作者之间的差异性。尽管 Goldmann 动态视野检查法在临床环境中仍很常用,但在临床实践、研究和临床试验中,它正逐渐被其他视野测试方法所取代,例如计算机化(半)自动视野检查设备。
微视野检查 (MP) 是一种半自动视野检查设备,它通过眼底追踪技术将呈现给视网膜中央的刺激关联起来。测试时,让患者注视中心点,同时在视网膜上的各个位置呈现不同的刺激。记录患者在每个位置感知刺激的能力,并用于创建“视网膜敏感度图”。这可以产生更精确的逐点关联和随访。在 IRD 的临床试验中,MP 经常与传统结果测量(即视力和视野)结合使用。最近的研究表明,视网膜敏感度的变化可以在相对较短的时间内检测到,早于 BCVA 的变化。由于 视网膜色素变性(RP)后期 BCVA 会受到影响,因此很难在短随访期内(例如在临床试验中)根据 BCVA 评估病情进展。因此,MP 可在临床试验中作为检测病情进展和评估治疗结果的补充结果测量手段,证明是有益的。值得注意的是,MP 不能替代传统的视力测试,因为它并不适用于所有 视网膜色素变性(RP)患者。对于注视能力较差的患者(例如视力低下或眼球震颤患者),用 MP 测量病情进展会变得更加困难,从而导致测量结果的变化。另一个限制是 MP 仅允许对中央视网膜进行敏感度映射。
暗适应 (DA) 静态视野检查法是为测量视网膜较大范围内的视杆细胞和视锥细胞功能而开发的。与明适应视野检查法相比,暗适应 (DA)可通过用不同的刺激测试每个位点来区分视杆细胞和视锥细胞的功能。每个测试位点暴露于青色 ( 505nm ) 和红色 (626nm) 刺激物。由于视杆细胞对红色刺激不太敏感,因此刺激物之间的较大阈值差异表明视杆细胞介导。暗适应 (DA)静态视野计已在市场上销售,但也可以通过修改在目前的标准视野计上进行测试。
为什么要对疑似视网膜色素变性的患者进行全场刺激阈值测试?
另一项心理物理工具是全视野刺激阈值 (FST),它已成为基因治疗试验中一项关键的结果测量指标。FST 被开发为一种量化终末期 IRD 患者视网膜敏感度的工具,因为这些患者通常缺乏其他结果测量工具所需的视力和注视能力。简而言之,全视野刺激阈值 (FST)的目的是测量视网膜阈值,该阈值被定义为刺激强度,患者 50% 的时间可以看到它。不同的刺激(红色、蓝色和白色)会产生视杆细胞、视锥细胞或视杆-视锥混合反应之间的差异,并且刺激通常会呈现多次以解释重测信度。由于全视野刺激阈值 (FST)测量整个视网膜的阈值,因此该测量工具的局限性是缺乏空间信息。尽管如此,全视野刺激阈值 (FST)已经能够在多项基因治疗试验中证明其治疗效果。
为什么要对疑似视网膜色素变性的患者进行多模态成像?
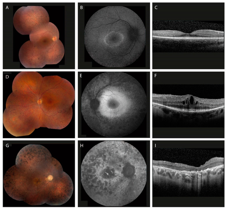
多模式成像,包括宽视野眼底成像、频域光学相干断层扫描 (SD-OCT) 和眼底自发荧光 (FAF) 成像,可用于观察 视网膜色素变性(RP)患者视网膜变性的程度。宽视野眼底成像可全面概览视网膜,可用于监测视网膜色素变性(RP)的进展。多项基因解码已使用 SD-OCT 上的结构标记(如中央视网膜厚度和/或椭圆区 (EZ) 带宽)作为追踪疾病进展的另一种方法。此外, SD-OCT 可检测与视网膜色素变性(RP)相关的继发性并发症,如 CME和视网膜前膜的存在。眼底自发荧光 (FAF) 成像是一种非侵入性成像技术,可测量光感受器和 RPE 中自发荧光脂褐素成分的水平。在视网膜黄斑部病变的早期阶段,通常可以观察到高自发荧光黄斑环,这表示健康和退化视网膜之间的过渡区,在 SD-OCT 上,这通常伴有 EZ、外界膜 (ELM) 和外核层 (ONL) 的逐渐变薄(图 4) 。值得注意的是,高荧光环并非 视网膜色素变性(RP)所特有,也可见于其他视网膜疾病,如视锥-视杆营养不良症。在视网膜色素变性(RP)中,高自发荧光环向视网膜中心逐渐收缩,而在视锥-视杆营养不良症中,由于感光细胞变性的顺序不同,环会逐渐扩大。在 视网膜色素变性(RP)晚期,当广泛的感光细胞和 RPE 变性发生时,导致视网膜和 RPE 中的脂褐素水平降低,FAF 上会出现广泛的低自发荧光区域(图 4)。

图 4:三名视网膜色素变性 (RP) 患者的多模式成像。 ( A – C ):由RHO基因变异导致的 视网膜色素变性(RP)患者的多模式成像显示了 视网膜色素变性(RP)的临床特征,包括 (中) 周边视网膜中的血管变细和骨针状色素沉着 ( A )。在自发荧光成像上,可以在黄斑中观察到一个小的强荧光环 ( B )。频域光学相干成像显示中央视网膜相对完整,但该区域以外的外层视网膜层(即椭圆体区和外界膜)丢失 ( C )。 ( D – F ):另一位患有RHO相关 RP的患者的多模式成像显示中周边视网膜和血管弓周围有低自发荧光区域,黄斑内有一个宽阔的强自发荧光环状区域 ( E )。视网膜中心凹区域显示出花瓣状的低自发荧光,可能是由于黄斑囊样水肿掩盖了下面的自发荧光(F)。SD-OCT 证实了 CME 的存在,以及视网膜中心凹周围外层的丢失。(G - I ):在患有晚期RPGR相关 RP的患者中观察到更广泛的骨刺状色素沉着,不仅显示中周边视网膜色素沉着,而且在视网膜中心凹也有色素沉着(G)。自发荧光成像(H )显示一些正常或增强的自发荧光残留区域,以及包括视网膜中心凹在内的斑驳的低自发荧光区域。如预期的那样,在光学相干断层扫描( I )上可以清晰地看到外层视网膜和视网膜色素上皮。
(责任编辑:佳学基因)