【佳学基因检测】肾细胞癌的分子诊断及分类
肾细胞癌导读
肾细胞癌(RCC)是一类来源于肾小管上皮细胞的异质性癌症,是全世界10种最常见的癌症之一。在过去二十年中,肾细胞癌的在组织病理学和分子生物学特征方面的重要进展促进了肾细胞分类的重大个性。发病比例≥5%的主要亚型有透明细胞肾细胞癌、乳头状癌(pRCC)和嫌色细胞癌(chRCC)。其余的亚型非常罕见,每个亚型的发病率在总发病率的比例≤1%。在肿瘤不符合任何亚型的诊断标准时,该肿瘤被归为为未分类肾细胞癌(uRCC,~4%总发生率)。ccRCC是最常见的亚型,占肾癌死亡的大多数。事实上,由于转移性疾病中透明细胞组织学占主导地位(83–88%),具有非透明细胞组织学的肿瘤被归类为“nccRCC”,以确定进行临床试验的可行性。此外,最近的癌症基因组研究揭示了ccRCC中肿瘤内和肿瘤间具有明显的复杂的异质性,这可能导致观察到的临床治疗结果的异质性
肾细胞癌的不同亚型
约75%的肾细胞癌(RCC)是透明细胞RCC(ccRCC)。乳头状RCC约占所有肾癌的15%,根据染色特征分为两种类型:I型(嗜碱性)和II型(嗜酸性)。嫌色性肾细胞癌约占肾肿瘤的5%。其他次要亚型包括MiT家族易位RCC和集合管RCC。其他次要亚型包括髓质RCC、透明细胞乳头状RCC、获得性囊性疾病相关RCC、肾小管细胞RCC、黏液性肾小管和梭形RCC、琥珀酸脱氢酶缺陷RCC、遗传性平滑肌瘤病、肾细胞癌相关RCC和嗜酸细胞瘤。不属于这些类别的肿瘤被指定为非分类肾细胞癌。
局部肾细胞癌可通过部分或治好性肾切除术(切除肾脏)、消融术(用热或冷破坏恶性组织)或主动监测(通过定期放射学研究监测肿瘤生长)进行治疗。尽管以治疗为目的进行了肾脏切除,但约30%的局限性透明细胞肾细胞患者最终会发生转移,这需要系统治疗,并与高死亡率相关。已经开发了针对血管内皮生长因子(VEGF)和mTOR途径的靶向治疗,但治疗反应不同,大多数患者最终进一步恶化。然而,对转移性透明肾细胞癌的基因组和分子理解的提高,促成了美国和欧盟前所未有的治疗药物批准的批准和上市数量(目前批准了12种具有6种不同有效作用机制的药物)。在这一肾细胞癌的科普读物中,肿瘤基因检测网介绍了这些新批准的药物,以及在这引些被批准的透明肾细胞癌药物背后的生物学机制的主要进展。此外,基于基因组基因检测和分层治疗的理解,肿瘤基因检测网为讨论治疗的顺序和组合,从而为未来的个性化临床治疗铺平道路。
肾细胞癌与肾癌
肾细胞癌 (RCC) 表示起源于肾上皮细胞的癌症,占肾脏癌症的 90% 以上。 该疾病包括超过 10 种组织学和分子亚型,其中透明细胞 RCC (ccRCC) 最常见,是大多数癌症相关死亡的原因。 尽管体细胞 VHL 突变已经被发现了一段时间,但最近的癌症基因组研究已经确定了表观遗传调控基因的突变,并证明了显着的肿瘤内异质性,这可能具有预后、预测和治疗相关性。 局限性 RCC 可以通过手术成功治疗,而转移性 RCC 对常规化疗难以治疗。 然而,在过去十年中,转移性 RCC 的治疗取得了显着进展,靶向药物包括索拉非尼、舒尼替尼、贝伐珠单抗、帕唑帕尼和阿西替尼,它们抑制血管内皮生长因子(VEGF)及其受体(VEGFR),以及依维莫司和替西罗莫司抑制雷帕霉素复合物 1 (mTORC1) 的机制靶点,获得批准。 自 2015 年以来,除了 VEGFR 之外,还有其他靶点的药物获得批准,例如卡博替尼和乐伐替尼; 免疫疗法,如 nivolumab,也已被添加到转移性 RCC 的治疗药物中。 佳学基因从肾细胞的生物学做为出发点,重点是 ccRCC,以及更新以补充当前的临床指南,并概述了 RCC 研究和治疗的潜在未来方向。
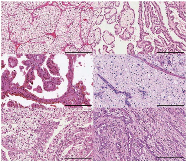
肾细胞癌 (RCC) 包括一组源自肾小管上皮细胞的异质性癌症,是全球 10 种最常见的癌症之一。 在过去二十年中,肾细胞癌 (RCC)的组织病理学和分子表征方面的重要进展导致对其分类进行了重大修订。 发病率≥5% 的主要亚型是透明细胞肾细胞癌 RCC (ccRCC)、乳头状肾细胞癌 RCC (pRCC)和嫌色细胞肾细胞癌 RCC (chRCC)(图 1)。 其余亚型非常罕见(每种亚型的总发病率≤1%),如果肿瘤不符合任何亚型诊断标准,则将其归为未分类 RCC(uRCC,总发病率约为 4%)。 透明细胞肾细胞癌是最常见的亚型,占肾癌死亡的大部分,是佳学基因肾细胞癌基因检测的重点。 事实上,由于透明细胞组织学在转移性疾病中占主导地位 (83-88%),具有非透明细胞组织学的肿瘤已被归类为“nccRCC”(表 1),以便进行临床试验的可行性。 此外,最近的癌症基因组研究揭示了 ccRCC 肿瘤内和肿瘤间异质性的明显复杂性,这可能导致观察到的异质性临床结果。
局限性肾细胞癌 RCC 可以通过部分或治好性肾切除术(去除肾脏)、消融术(用热或冷破坏恶性组织)或主动监测(通过定期放射学检查监测肿瘤生长)来治疗。尽管肾切除术具有治好目的,~ 30% 局部疾病的透明细胞肾细胞癌 ccRCC 患者最终会发生转移,这需要全身治疗并且与高死亡率相关。针对血管内皮生长因子 (VEGF) 和 mTOR 通路的靶向治疗已经开发,但治疗反应各不相同,大多数患者最终进展。然而,对转移性 ccRCC 的基因组和分子理解的增加促成了美国和欧盟前所未有的药物批准数量(目前批准了 12 种具有六种不同有效作用机制的药物)。在《肾脏癌的靶向药物基因检测》中,佳学基因反复讨论 这些新的批准以及 ccRCC 在生物学方面取得的重大进展导致了它们 发展。 此外,基因解码提出了基于基因组学的风险和治疗分层的见解,并讨论了为未来设计个性化临床管理计划铺平道路的治疗顺序和组合。

- 【佳学基因检测】肾病综合征基因检测(Nephrotic Syndrome Genetic Test)...
- 【佳学基因检测】心肾系统罕见病黏多糖贮积症基因检测...
- 【佳学基因检测】遗传性肾炎做基因检测能分辨出来吗?...
- 【佳学基因检测】肾脏单基因遗传病检测...
- 【佳学基因检测】遗传性肾炎基因解码为什么要优于基因检测?...
- 【佳学基因检测】肾病综合症基因检测...
- 【佳学基因检测】泌尿科遗传性疾病基因检测...
- 【佳学基因检测】阿拉吉尔综合征疾病基因检测的科学性...
- 【佳学基因检测】怎么知道是否遗传了伯特-霍格-杜贝综合征基因?...
- 【佳学基因检测】卡彭特综合症基因检测检查内容...
- 【佳学基因检测】单相抑郁症致病力基因检测?...
- 【佳学基因检测】17α-羟化酶/17,20-裂解酶缺乏的病因及其基因检测结果...
- 【佳学基因检测】怎么知道是否遗传了15q24微缺失综合征基因?...
- 【佳学基因检测】什么是3-M 瘦骨嶙峋遗传基因检测?...
- 【佳学基因检测】基因检测能查华氏巨球蛋白血症吗?...
- 【佳学基因检测】3-甲基戊烯酸尿症V型基因检测要多久?...
- 【佳学基因检测】I型毛鼻指骨发育不良的基因检测与分子诊断?...
- 【佳学基因检测】颅面微小症基因测序基因检测...
- 【佳学基因检测】II型家族性淀粉样多发性神经病病因查找基因检测...
- 【佳学基因检测】有效避免X连锁肌张力障碍帕金森病(XDP)遗传给孩子的基因检测...
- 【佳学基因检测】X连锁高促性腺激素性卵巢功能衰竭基因检测的正确度...
- 【佳学基因检测】三甲胺尿(TMAuria)基因检测的可信度?...
- 【佳学基因检测】2,8-二羟基腺嘌呤尿石症基因检测如何理解?...
- 【佳学基因检测】史蒂文斯-约翰逊综合征/中毒性表皮坏死松解症基因检测如何做?...
- 【佳学基因检测】3-M综合征(3-MSBN)要做基因检测吗?...
- 【佳学基因检测】正确理解威斯科特-奥尔德里奇综合征基因检测...
- 【佳学基因检测】医学院对脑面胸发育不良基因检测的科普...
- 【佳学基因检测】医院对17p11.2单体基因检测的认识...
- 【佳学基因检测】X连锁智力缺陷,Renpenning型可以做基因检测吗?...
- 【佳学基因检测】如何筛查是否携带紫外线敏感综合症基因?...
- 来了,就说两句!
-
- 最新评论 进入详细评论页>>